Bạn có thể chuyển sang phiên bản mobile rút gọn của Tri thức trực tuyến nếu mạng chậm. Đóng

Thận mất dần chức năng nhưng người đàn ông không hay biết

Từ những cơn ngứa da và đau khớp bị bỏ qua, người đàn ông bàng hoàng phát hiện chức năng thận suy giảm chức năng nghiêm trọng ngay khi vừa nhập viện.

soi than anh 1

Sỏi thận kéo dài khiến thận người đàn ông mất dần chức năng. Ảnh: Adobe Stock.

“Tôi chỉ thấy người hay mệt, hơi khó chịu, đâu ngờ lại nghiêm trọng đến vậy…”, ông Ngô (tên đã được thay đổi) vẫn chưa hết bàng hoàng khi nhớ lại quãng thời gian vừa qua trong phòng bệnh tại Bệnh viện Nhân dân Thành Dương, TP Thanh Đảo.

Theo QQ News, ở tuổi 46, ông Ngô luôn cho rằng sức khỏe của mình “không có vấn đề lớn”. Ông chưa từng đi khám sức khỏe định kỳ, dù biết bản thân mắc gout và viêm da, thường xuyên cảm thấy mệt mỏi, đau nhức khớp. Những biểu hiện này được ông xem là chuyện nhỏ nên không đi kiểm tra.

Lần này, khi nhập viện để chuẩn bị thực hiện một tiểu phẫu vì bệnh lý khác, xét nghiệm máu tiền phẫu khiến các bác sĩ lập tức cảnh giác. Kết quả cho thấy chỉ số creatinin máu của bệnh nhân lên tới 720 μmol/L, cao gấp hơn 7 lần mức bình thường (59-104 μmol/L). Đồng thời, hemoglobin chỉ còn 59 g/L, cho thấy tình trạng thiếu máu nặng.

Nhận thấy nguy cơ tổn thương thận nghiêm trọng, khoa điều trị đã lập tức mời ê-kíp tiết niệu hội chẩn khẩn cấp. Một “cuộc chiến bảo vệ thận” được khởi động ngay trong ngày.

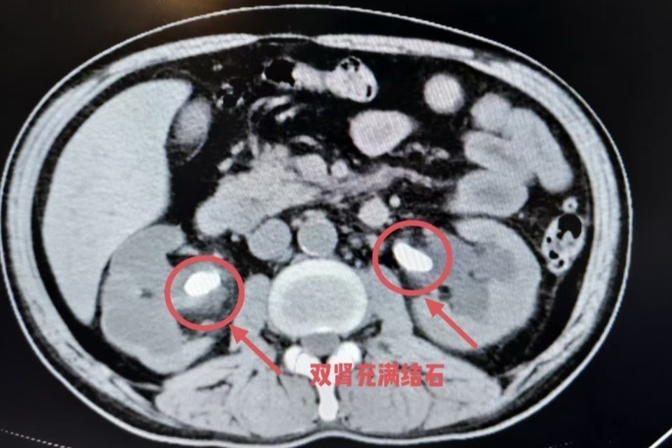
Truy tìm nguyên nhân khiến chức năng thận suy giảm nghiêm trọng, các bác sĩ tiến hành chụp CT và nhiều xét nghiệm chuyên sâu. Kết quả cho thấy trong cả hai quả thận của ông Ngô tồn tại sỏi kích thước khoảng 2 cm, nằm ở vị trí nối giữa thận và niệu quản.

Những viên sỏi này gây tắc nghẽn dòng nước tiểu trong thời gian dài nhưng gần như không gây đau. Thận bị ứ nước kéo dài, dần teo nhỏ và mất chức năng mà người bệnh không hay biết. Ông Ngô được chẩn đoán ứ nước hai thận do sỏi niệu quản, teo thận và suy thận cấp, sau đó được chuyển thẳng về khoa Tiết niệu để phẫu thuật.

soi than anh 2

Sỏi thận được tìm thấy trong cơ thể người đàn ông. Ảnh: QQ News.

Theo bác sĩ Lưu Kinh Vĩ, Phó trưởng khoa Tiết niệu, Bệnh viện Nhân dân Thành Dương, thận là cơ quan hoạt động thầm lặng. Khi chưa mất quá nhiều chức năng, cơ thể hầu như không phát ra tín hiệu rõ ràng. Các biểu hiện sớm như nổi ban da, mệt mỏi, đau khớp hay thiếu máu thường bị bỏ qua hoặc nhầm lẫn với tình trạng suy nhược thông thường.

Trước tình trạng nặng của bệnh nhân, ê-kíp do bác sĩ Tống Sĩ Cường, Trưởng khoa Tiết niệu, trực tiếp chỉ đạo đã đánh giá kỹ lưỡng. Do thể trạng không cho phép xử lý đồng thời cả hai bên thận, các bác sĩ quyết định ưu tiên can thiệp bên thận còn chức năng tốt hơn.

Ở ca mổ đầu tiên, bệnh nhân được tán và lấy sỏi thận trái bằng phương pháp nội soi qua da, đồng thời dẫn lưu thận phải để giảm ứ nước. Sau phẫu thuật, ông Ngô được điều trị kết hợp bằng thuốc, truyền dịch và theo dõi sát chức năng thận.

Hai tháng sau, khi tình trạng sức khỏe ổn định hơn, ê-kíp tiếp tục thực hiện ca phẫu thuật xâm lấn tối thiểu ở thận còn lại. Các ca can thiệp đều diễn ra thuận lợi. Chỉ số creatinin của bệnh nhân giảm dần theo thời gian và hiện đã hồi phục đủ điều kiện xuất viện.

Theo các bác sĩ, nhiều người lầm tưởng sỏi thận càng lớn thì càng đau. Trên thực tế, sỏi kích thước lớn thường ít di động nên gây đau ít hơn, nhưng lại dễ gây tắc nghẽn kéo dài, dẫn tới ứ nước, teo thận và tổn thương không thể hồi phục.

Để phòng ngừa tổn thương thận, các chuyên gia khuyến cáo cần kiểm soát tốt các bệnh nền như gout, tăng huyết áp, đái tháo đường; duy trì lối sống lành mạnh, uống đủ nước, tránh tự ý dùng thuốc có nguy cơ gây hại cho thận.

Đặc biệt, việc khám sức khỏe định kỳ với xét nghiệm máu, nước tiểu và siêu âm thận có vai trò then chốt trong phát hiện sớm các bệnh lý âm thầm nhưng nguy hiểm này.

Cuốn sách "Cơ thể phi tuổi tác tâm trí phi thời gian" mang đến cho độc giả nhiều kiến thức hữu ích liên quan đến quá trình lão hóa của con người. Chúng ta có thể làm chậm quá trình lão hóa bằng những phương pháp rất đơn giản.

5 nguyên nhân gây hôi miệng

Hôi miệng có thể chỉ là tình trạng thoáng qua sau khi ăn thức ăn nặng mùi nhưng cũng có khi là dấu hiệu của vấn đề sức khỏe răng miệng tiềm ẩn.

Sập giàn giáo tại Nhà thi đấu Phú Thọ, một người tử vong

Vụ tai nạn lao động xảy ra tối 17/12 tại công trình cải tạo Nhà thi đấu Phú Thọ (TP.HCM) khiến một công nhân tử vong tại chỗ, một người khác bị đa chấn thương và đang được điều trị tại bệnh viện.

GS Nguyễn Quang Tuấn hỗ trợ chuyên môn cho bệnh viện ngoại thành

Bệnh viện Đa khoa Ba Vì dự kiến triển khai khám chữa bệnh chuyên gia với sự đồng hành của GS.TS.BS Nguyễn Quang Tuấn nhằm nâng cao chất lượng điều trị.

Kỳ Duyên

Bạn có thể quan tâm