Bạn có thể chuyển sang phiên bản mobile rút gọn của Tri thức trực tuyến nếu mạng chậm. Đóng

Tổn thương phổi nặng sau 2 tuần khỏi Covid-19

Khỏi Covid-19 tròn 2 tuần, bé gái 15 tuổi bất ngờ sốt cao, rét run, phát ban khắp người phải nhập viện cấp cứu.

Bác sĩ Trần Văn Bắc, Phó trưởng khoa Cấp cứu, Bệnh viện Bệnh Nhiệt đới Trung ương (Hà Nội), cho biết bé gái (15 tuổi, sống ở Bắc Kạn) khỏi Covid-19 được 2 tuần đột ngột sốt cao 40 độ, rét run, kèm theo phát ban sẩn ngứa dạng chấm, nốt toàn thân. Lúc vào viện, bé nổi ban đỏ toàn thân, kết mạc mắt đỏ, sưng nề mi mắt, lưỡi đỏ, mệt mỏi.

Ba tuần trước khi vào viện, bé bị sốt, đau họng, chảy mũi, ho khan, xét nghiệm Covid-19 cho kết quả dương tính. Sau 10 ngày, bệnh nhi hết các triệu chứng, test nhanh cho kết quả âm tính, đi học lại bình thường. Được biết, bé đã tiêm 2 mũi vaccine Covid-19, mũi 2 tiêm trước khi vào viện 2 tháng.

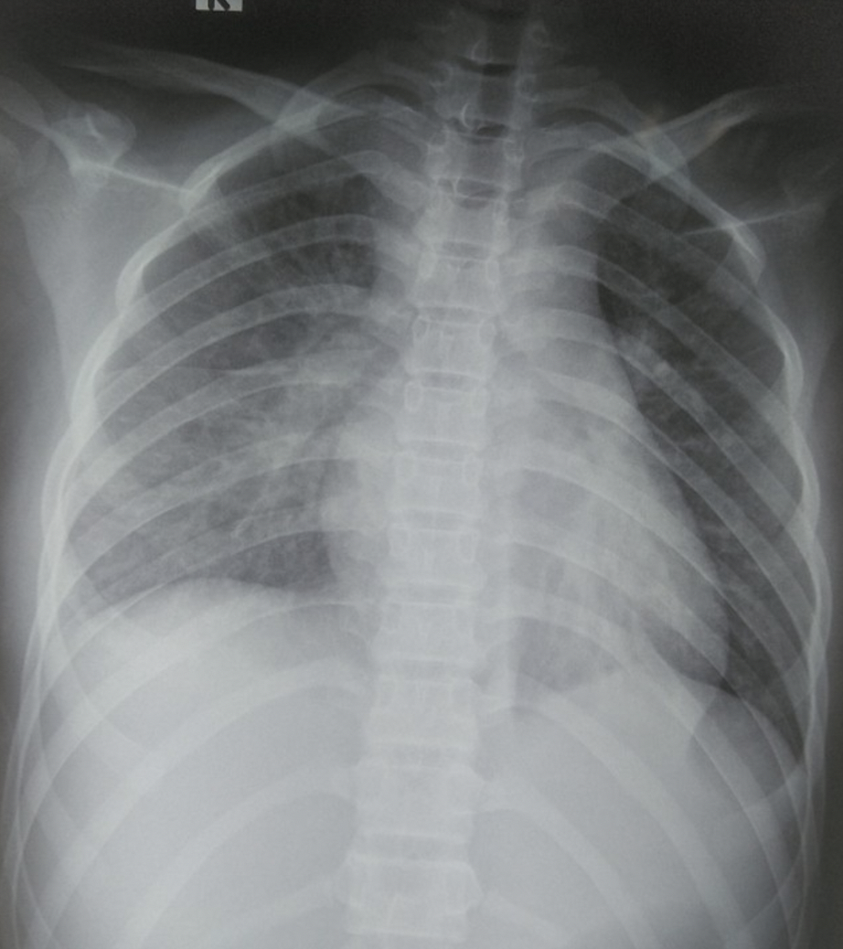
Be gai ton thuong phoi hau Covid-19 anh 1

Hình ảnh tổn thương phổi của bệnh nhi trên X-quang. Ảnh: Bệnh viện cung cấp.

Tại bệnh viện, các bác sĩ xét nghiệm phát hiện bệnh nhi bị tổn thương nhiều cơ quan. Cụ thể, phổi tổn thương mờ dạng kẽ vùng rốn phổi 2 bên, tràn dịch màng ngoài tim, tăng chỉ số Troponin T, pro-BNP. Các chỉ số men gan ASAT/ALAT tăng gấp 2 lần, bạch cầu tăng 19 G/L, CRP trên 200 mg/L, định lượng Interleukin-6 (cytokine viêm) tăng cao.

Bác sĩ chẩn đoán bé mắc hội chứng viêm đa hệ thống (MIS-C) mức độ nặng. Bệnh nhi được điều trị các thuốc thích hợp tại khoa Cấp cứu.

Một tuần sau, bé không phát ban, sốt, ăn ngủ tốt, được xuất viện, đi học trở lại, sinh hoạt bình thường, Tuy nhiên, bệnh nhi vẫn cần theo dõi lâu dài các biến chứng về tim mạch và hệ miễn dịch.

Theo bác sĩ Bắc, hội chứng MIS-C có nhiều điểm chung với bệnh Kawasaki (KD) và hội chứng sốc nhiễm độc độc tố tụ cầu (TSS). Tuổi trung bình mắc bệnh là 8, gặp nhiều trong độ tuổi 6-12 tuổi.

CDC Hoa Kỳ thông tin bệnh nhân được chẩn đoán mắc MIS-C phải dưới 21 tuổi, sốt kéo dài ít nhất 24 tiếng, xét nghiệm chỉ số viêm tăng, rối loạn từ 2 cơ quan/hệ thống trở lên, xét nghiệm test nhanh hoặc rRT-PCR dương tính, tiếp xúc với ca bệnh.

Biểu hiện lâm sàng của bệnh đa dạng gồm sốt, vấn đề về tiêu hóa, tim mạch, viêm kết mạc, ban đa hình thái, suy hô hấp. Nhiều bệnh nhân bị bệnh nặng phải chăm sóc ở đơn vị hồi sức tích cực.

Để điều trị cho người bệnh hiệu quả, bác sĩ sẽ sử dụng các thuốc globulin miễn dịch hoặc corticoid, quản lý biến chứng tim mạch, dự phòng chống đông. Đến nay, hậu quả lâu dài của MIS-C chưa được xác định.

Bài thuốc chữa mất ngủ hậu Covid-19

Mất ngủ hậu Covid-19 là tình trạng phổ biến ở người nhiễm nCoV. Bệnh nhân thường trằn trọc, khó đi vào giấc ngủ, ngủ không sâu giấc.

Minh Thúy

Bạn có thể quan tâm