Bạn có thể chuyển sang phiên bản mobile rút gọn của Tri thức trực tuyến nếu mạng chậm. Đóng

Phổi bị phá hủy, tiên lượng rất xấu vì căn bệnh tưởng nhẹ

Chỉ trong 72 giờ, cúm mùa đã phá hủy phổi bệnh nhân suy giảm miễn dịch, đẩy người bệnh vào suy hô hấp nặng với tiên lượng rất xấu.

Các bác sĩ khoa Cấp cứu, Bệnh viện Bệnh Nhiệt đới Trung ương, vừa tiếp nhận một trường hợp cúm mùa diễn biến đặc biệt nhanh và nặng. Bệnh nhân là nữ T.T.H. (35 tuổi, ở Phú Thọ) có nền bệnh phức tạp.

Người bệnh có suy thận mạn do lupus, đã ghép thận được 13 tháng và phải dùng thuốc chống thải ghép cùng thuốc điều trị lupus suốt hơn 15 năm. Đây là nhóm bệnh nhân có hệ miễn dịch suy giảm sâu, rất dễ bị tấn công bởi các bệnh đường hô hấp, trong đó cúm mùa là một trong những nguy cơ lớn nhất.

Khoảng 3 ngày trước nhập viện, bệnh nhân xuất hiện sốt, ho và khó thở tăng dần. Dù đã được phát hiện sớm, điều trị bước đầu tại cơ sở y tế tuyến trước và test nhanh cúm dương tính, tình trạng suy hô hấp vẫn tiến triển nhanh.

Khi chuyển tới Bệnh viện Bệnh Nhiệt đới Trung ương, chị H. ở trong tình trạng thở nhanh 30 lần/phút, co kéo cơ hô hấp nhiều, SpO₂ tụt xuống chỉ còn 85% và cần được hỗ trợ thở máy lưu lượng dòng cao ngay lập tức.

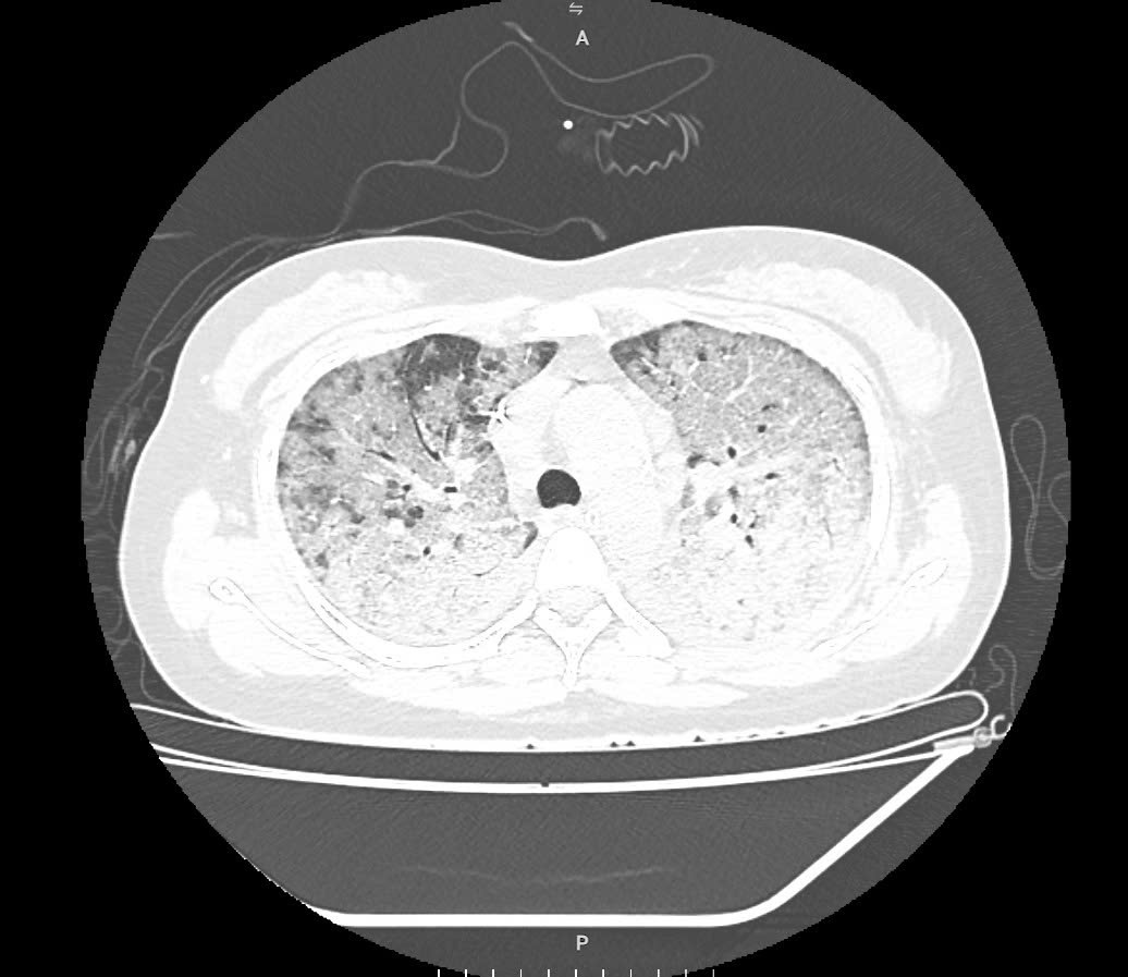
Tuy nhiên, diễn biến cúm xấu lên nhanh đến mức có thời điểm dù cài 100% oxy, SpO₂ vẫn chỉ đạt 80-85%. Hình ảnh phim phổi cho thấy tổn thương lan tỏa kín hai bên phổi, hình ảnh kính mờ điển hình của cúm tiến triển, nhanh chóng chuyển sang hội chứng suy hô hấp cấp (ARDS) - biến chứng nặng thường gặp ở nhóm bệnh nhân suy giảm miễn dịch.

cum mua anh 1

Hình ảnh phim phổi cho thấy tổn thương lan tỏa kín hai bên phổi, hình ảnh kính mờ điển hình của cúm tiến triển. Ảnh: BVCC.

BS Trương Tư Thế Bảo, khoa Cấp cứu, cho biết với những bệnh nhân phải dùng thuốc ức chế miễn dịch kéo dài như trường hợp này, cơ thể gần như không còn khả năng tự chống đỡ. Bất kỳ nhiễm trùng hô hấp nào cũng có thể diễn tiến nặng trong thời gian rất ngắn, gây suy hô hấp và ảnh hưởng đa cơ quan.

Trước mức độ tổn thương phổi lan tỏa và suy hô hấp tiến triển nhanh, các bác sĩ nhận định bệnh nhân H. có tiên lượng rất xấu, nguy cơ khó qua khỏi dù đã được điều trị tích cực.

Từ trường hợp này, bác sĩ Bảo nhấn mạnh cúm mùa hoàn toàn có thể trở thành bệnh lý nguy hiểm, đặc biệt ở những người có bệnh nền như lupus, người ghép tạng, bệnh phổi mạn, tim mạch, đái tháo đường hoặc bất kỳ tình trạng nào khiến miễn dịch suy giảm.

Diễn tiến nặng có thể xảy ra trong 24-72 giờ, việc tự điều trị tại nhà hoặc chậm trễ đi khám có thể khiến người bệnh rơi vào nguy kịch rất nhanh. Khi xuất hiện sốt cao, ho nhiều, mệt tăng, thở nhanh hoặc khó thở, người bệnh cần được thăm khám ngay tại những cơ sở có chuyên khoa hô hấp và bệnh truyền nhiễm để can thiệp kịp thời.

Đặc biệt với những người có bệnh nền hoặc suy giảm miễn dịch, cúm mùa không phải là bệnh lý nhẹ. Việc tiêm vaccine cúm hàng năm không còn đơn thuần là một khuyến cáo chung mà là biện pháp phòng bệnh cần được ưu tiên hàng đầu, giúp giảm rõ rệt nguy cơ diễn tiến nặng, suy hô hấp và không qua khỏi.

Không có nghề nào tuyệt vời hơn nghề y

Nghề bác sĩ vất vả về mặt thời gian, tổn hao nhiều năng lượng và cảm xúc. Thế nhưng, trên thế gian này, không có nghề nào tuyệt vời hơn nghề y. Chạy trời không khỏi đau là tập hợp các ghi chép của tác giả Adam Kay trong 6 năm hành nghề y từ 2004 đến 2010, cuốn sách là bản báo cáo không khoan nhượng về công việc của đội ngũ y tế của Vương quốc Anh đang làm việc ngày đêm nhưng chưa được nhìn nhận và tôn trọng đúng mức.

Loại rượu chứa chất kịch độc nhưng đa số 'dân nhậu' không biết

Không mùi lạ, không vị khác thường, nhưng rượu không rõ nguồn gốc, chứa methanol có thể khiến người uống mù mắt, tổn thương não và tử vong.

Mặt mày ngứa rát, bứt rứt khi ra đường: Bác sĩ chỉ ra 'thủ phạm'

Sau vài buổi đi làm giữa khói bụi, da mặt cô gái 26 tuổi đỏ rát, nóng ran. Bác sĩ xác định viêm da kích ứng do tiếp xúc kéo dài với không khí ô nhiễm.

Thói quen khó bỏ của nhiều nam giới Việt khiến gan, tụy bị hủy hoại

Rượu bia không chỉ hại gan. Khi mỡ máu tăng vọt, viêm tụy cấp có thể ập đến đột ngột, diễn tiến nhanh và đe dọa tính mạng người bệnh.

Phương Anh

Bạn có thể quan tâm