Bạn có thể chuyển sang phiên bản mobile rút gọn của Tri thức trực tuyến nếu mạng chậm. Đóng

Chủ quan với dấu hiệu nhẹ, đi khám mới biết mắc bệnh nguy hiểm

Đến bệnh viện vì vấn đề ở mắt, bệnh nhân 44 tuổi không ngờ được chẩn đoán mắc bệnh lý nghiêm trọng, cần can thiệp sớm để tránh hậu quả nặng nề.

Các bác sĩ khoa Mắt, Bệnh viện Bạch Mai, vừa tiếp nhận một trường hợp cho thấy những bất thường ở mắt có thể là "chìa khóa" giúp phát hiện sớm các bệnh lý toàn thân nguy hiểm. Bệnh nhân 44 tuổi, trú tại Hà Nội, đến khám vì tình trạng nhìn mờ, giảm thị lực kéo dài nhiều tháng. Đáng chú ý, người bệnh không kèm theo đau nhức mắt hay các triệu chứng cấp tính, nên chủ quan và trì hoãn việc đi khám.

Khi kiểm tra thị lực bằng bảng chữ cái nhìn xa, các bác sĩ nhận thấy bệnh nhân chỉ đọc được các ký tự phía mũi, trong khi không nhìn thấy phần bảng chữ phía thái dương. Dấu hiệu bất thường này khiến bác sĩ nghi ngờ tình trạng khuyết thị trường do tổn thương đường dẫn truyền thị giác.

Kết quả đo thị trường xác định người bệnh bị khuyết hoàn toàn nửa thị trường phía thái dương ở cả hai mắt. Chụp đáy mắt ghi nhận đĩa thị bạc màu, cho thấy tổn thương thần kinh thị giác đã diễn ra trong thời gian dài và các tế bào thần kinh đã bị ảnh hưởng đáng kể.

Theo các bác sĩ, đây là biểu hiện điển hình của những bệnh lý chèn ép giao thoa thị giác - vùng bắt chéo của dây thần kinh thị giác tại nền sọ. Trong số các nguyên nhân, u tuyến yên là bệnh lý thường gặp nhất.

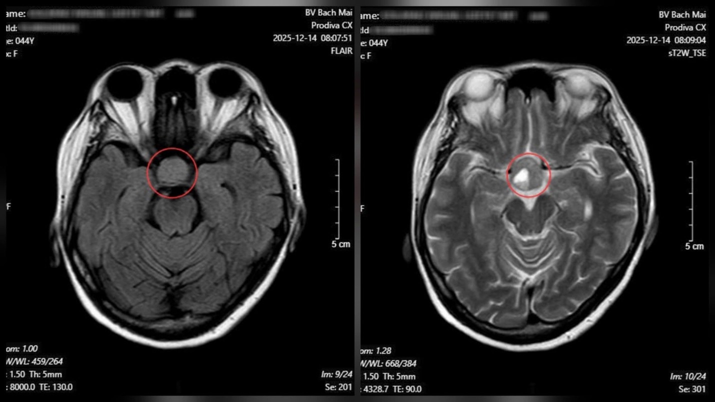
Từ những dấu hiệu nghi ngờ trên, bệnh nhân được chỉ định chụp cộng hưởng từ (MRI) sọ não. Kết quả cho thấy một khối u tuyến yên kích thước lớn (macroadenoma) với đường kính khoảng 26 × 21 mm.

Kham mat anh 1

Kết quả chụp cộng hưởng từ (MRI) sọ não cho thấy một khối u tuyến yên kích thước lớn. Ảnh: BVCC.

Ngay sau khi có kết quả, người bệnh được chuyển sang chuyên khoa Phẫu thuật Thần kinh để tư vấn điều trị và lên kế hoạch phẫu thuật, nhằm hạn chế nguy cơ tiến triển nặng hơn như mất thị lực vĩnh viễn hoặc các rối loạn nội tiết nghiêm trọng.

Từ trường hợp trên, các bác sĩ nhấn mạnh đôi mắt không chỉ là "cửa sổ tâm hồn" mà còn phản ánh nhiều vấn đề sức khỏe toàn thân. Nhiều bệnh lý nguy hiểm có thể biểu hiện sớm qua các dấu hiệu ở mắt như nhìn mờ, giảm thị lực không rõ nguyên nhân; thu hẹp tầm nhìn; thay đổi cảm nhận màu sắc; hoặc tình trạng nhìn tối, nhìn mờ tăng dần theo thời gian.

Đặc biệt, khuyết thị trường thường tiến triển âm thầm, người bệnh rất khó tự nhận biết. Phần lớn chỉ phát hiện khi tổn thương đã ở giai đoạn muộn, ảnh hưởng nghiêm trọng đến sinh hoạt và chất lượng cuộc sống. Trường hợp trên là ví dụ điển hình khi bệnh nhân chỉ đi khám lúc thị trường hai mắt đã khuyết hoàn toàn.

Các bác sĩ Khoa Mắt, Bệnh viện Bạch Mai, cũng khuyến cáo người dân không nên chủ quan với tình trạng nhìn mờ kéo dài, kể cả khi không có đau nhức. Việc khám mắt định kỳ, đặc biệt khi có cảm giác "nhìn vẫn rõ nhưng thiếu một phần tầm nhìn", là rất cần thiết.

Trong những trường hợp nghi ngờ, người bệnh nên được thực hiện các thăm dò chuyên sâu như đo thị trường, chụp đáy mắt để phát hiện sớm tổn thương thần kinh thị giác và tìm ra nguyên nhân tiềm ẩn.

Cuốn sách "Cơ thể phi tuổi tác tâm trí phi thời gian" mang đến cho độc giả nhiều kiến thức hữu ích liên quan đến quá trình lão hóa của con người. Chúng ta có thể làm chậm quá trình lão hóa bằng những phương pháp rất đơn giản.

Điều gì sẽ xảy ra khi cơ thể chỉ còn một quả thận?

Nỗi lo suy thận thường xuất hiện ngay khi cơ thể chỉ còn một quả thận, song nguy cơ thực sự lại đến từ bệnh nền và lối sống thiếu kiểm soát.

Thói quen xấu khó bỏ khiến người đàn ông lâm bạo bệnh

Lao phổi không được điều trị triệt để, cộng với hút thuốc lá kéo dài, bệnh nhân ở Hà Nội bị suy kiệt, suy hô hấp và phải hồi sức tích cực.

Bên trong khoa cấp cứu truyền nhiễm ở bệnh viện tuyến cuối

Từng ml thuốc và dinh dưỡng được tính toán chi li, len lỏi qua hệ thống dây truyền chằng chịt để nuôi dưỡng cơ thể, cảm biến điện cực, máy thở... phơi bày một cuộc chiến giành giật sinh mạng đầy cam go.

Phương Anh

Bạn có thể quan tâm