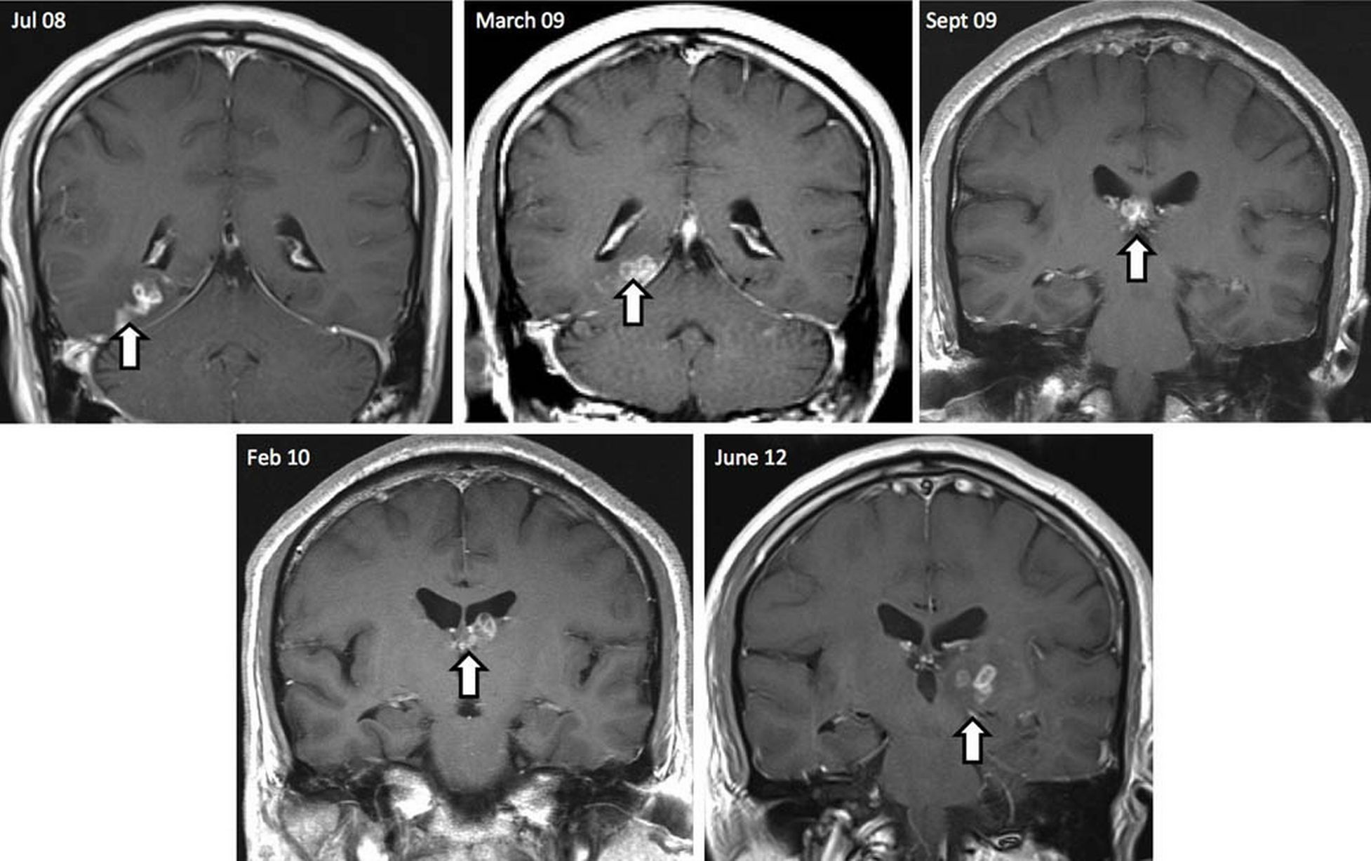
Vào năm 2008, một người đàn ông gốc Trung Quốc tại vùng East Anglia, Anh tới bệnh viện St Thomas ở thành phố London vì ông thường xuyên rơi vào tình trạng đau đầu, trí nhớ giảm sút, hay co giật và không thể ngửi mùi. Kết quả chụp cắt lớp cho thấy một vật gì đó có chiều dài 5 cm đang chuyển động trong não của ông. Các bác sĩ thực hiện rất nhiều xét nghiệm vì để xem ông mắc một bệnh gì đó - như HIV, giang mai - hay không. Họ không thấy bất kỳ triệu chứng của bệnh nào nên rất bối rối, Mirror đưa tin.
![]() |
| Vị trí của con sán dây trong não người đàn ông gốc Hoa tại Anh trong loạt ảnh chụp cắt lớp. Ảnh: Mirror |
4 năm sau, người đàn ông trở lại bệnh viện để kiểm tra. Hình ảnh từ máy chụp cắt lớp cho thấy chiều dài của vật thể trong não ông đã lên tới 10 cm. Chuyên gia kết luận vật thể là một con sán dây. Sau đó họ cho ông dùng thuốc để diệt con sán, tạp chí Genome Biology cho hay. Hiện nay sức khỏe của ông đã bình thường.
Con sán thuộc loài Spirometra erinaceieuropaei. Chúng thường ký sinh trong vật nuôi và người. Khoảng 300 người từng tới bệnh viện vì nhiễm chúng trên khắp thế giới từ năm 1953, nhưng đây là lần đầu tiên giới chuyên gia y tế phát hiện sán dây trong não người ở Anh. Sau khi xâm nhập vào vật chủ, chúng gây viêm nhiễm các mô. Nếu chúng bò lên não, nạn nhân sẽ thường xuyên rơi vào trạng thái nhức đầu, trí nhớ kém và co giật.
Phần lớn bệnh nhân nhiễm sán do vô tình nuốt phải cua, tôm trong hồ hoặc ăn thịt rùa, ếch sống.
