Bạn có thể chuyển sang phiên bản mobile rút gọn của Tri thức trực tuyến nếu mạng chậm. Đóng

Quá trình trồng răng Implant không đau của Việt kiều Mỹ

Về Việt Nam thực hiện trồng răng Implant, anh Long Mlee không những ăn uống thoải mái hơn, mà còn có được nụ cười rạng rỡ.

Trong hơn 10 năm mất răng, anh Long Mlee (Việt kiều Mỹ) hiếm khi cảm nhận được vị ngon của các món ăn, hay tự tin cười nói trước mặt bạn bè, đối tác. Sau một thời gian tìm hiểu, thấy khá nhiều Việt kiều về nước lựa chọn giải pháp trồng răng Implant không đau, vì vậy anh quyết định về Việt Nam và có được kết quả đáng mong đợi.

10 năm không một nụ cười vì... mất răng

Khoảng 10 năm trước, do tính chất công việc, anh Long MLee thường xuyên phải sử dụng rượu bia trong các bữa tiệc. Cùng với đó, việc chưa có nhiều kiến thức chăm sóc răng miệng nên răng anh hỏng vài chiếc, không thể chữa trị và phải nhổ bỏ. Kể từ đó, việc ăn uống của anh trở nên khó khăn hơn. Vì thế, anh quyết định chọn phương pháp cầu răng sứ để duy trì chức năng nhai. Các bác sĩ mài 2 răng kế bên răng mất để làm chân trụ, sau đó thực hiện lắp cầu răng phía trên.

Cứ tưởng sẽ có lại hàm răng như ban đầu, nhưng đến năm 2017, phần cầu răng của anh không còn sử dụng được. Thêm vào đó, những chiếc răng trước đây phải mài để làm chân trụ cũng hư tổn nặng, buộc phải nhổ hết khiến hàm của anh dường như trống hoàn toàn. Do đó, anh phải sử dụng hàm tháo lắp để duy trì ăn uống và sinh hoạt hàng ngày.

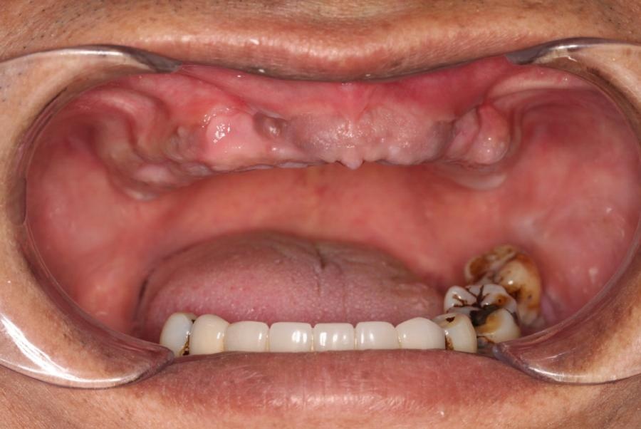
nha khoa I-Dent anh 1

Tình trạng răng của anh Long MLee trước khi trồng Implant.

Khi sử dụng hàm tháo lắp, anh Long MLee lại gặp phải nhiều trở ngại trong ăn uống. Anh không còn thưởng thức được những món ăn yêu thích của mình bởi hàm tháo lắp vốn chỉ đáp ứng được 30% khả năng ăn nhai. Không những vậy, vì để trống răng quá lâu nên phần má của anh bị hóp vào, giọng nói cũng thay đổi.

Ngay cả việc giao tiếp hàng ngày cũng gặp nhiều bất tiện. Bởi hàm tháo lắp chỉ được gắn tạm thời, không vững chắc. Nhiều khi anh nói chuyện thoải mái với bạn bè thì vô tình làm hàm tháo lắp rơi ra. Những lúc vui vẻ, anh cũng không dám cười thoải mái vì sợ bị lộ hàm giả.

Cuộc sống vui hơn nhờ trồng răng Implant

Sau khi tìm hiểu về phương án trồng răng Implant , anh tiếp tục tìm một địa chỉ nha khoa uy tín tại Việt Nam để thực hiện mong muốn hồi phục răng. Năm 2019, anh đã tìm kiếm thông tin và bảng giá qua nhiều website, từ đó biết đến I-Dent, một trong những nha khoa chuyên sâu về Implant tại TPHCM. Sau khi về Việt Nam, anh trực tiếp đến nha khoa này để thăm khám và chụp phim kiểm tra. Tại đây, TS.BS Nguyễn Hiếu Tùng chỉ định anh cấy “All-on-6” hàm trên và 4 trụ Implant hàm dưới.

Bản thân là một người rất sợ đau, khi bước vào phòng phẫu thuật, nhìn thấy những dụng cụ y khoa lại càng khiến cho anh Long lo lắng hơn. Nhưng với sự động viên từ đội ngũ y bác sĩ, anh đã vượt qua nỗi sợ này. Cùng với đó, kỹ thuật tiêm tê của bác sĩ Tùng cũng rất nhẹ nhàng, nên anh cũng thấy thoải mái hơn nhiều trong quá trình phẫu thuật.

Nha khoa I-Dent được nhiều khách hàng tin tưởng nhờ áp dụng công nghệ Pháp trong điều trị Implant. Từ giai đoạn tiêm tê đến khi cấy trụ, bệnh nhân sẽ thấy thoải mái, không có cảm giác đau đớn.

nha khoa I-Dent anh 2

Anh Long MLee điều trị tại nha khoa I-Dent năm 2019.

“Phẫu thuật nhẹ nhàng đến mức tôi đã ngủ quên. Đến khi bác sĩ bảo xong rồi, tôi mới giật mình vì tôi không có cảm giác đau hay khó chịu nào”, Anh Long Mlee chia sẻ.

Khoảng thời gian từ lúc thăm khám đến cấy trụ Implant chỉ mất khoảng 2 ngày. Lúc này, anh được gắn răng tạm thời để hỗ trợ việc ăn uống và sinh hoạt hàng ngày. Gần 3 tháng sau khi trụ Implant đã tích hợp cứng chắc với xương hàm, anh đến I-Dent một lần nữa để tiến hành phục hình sứ. Với trang bị phòng labo tại chỗ của trung tâm, anh được lựa chọn màu sắc và form răng phù hợp khuôn mặt.

Sau khi hoàn tất quá trình trồng răng Implant, anh Long MLee đã có lại được hàm răng cách đây 10 năm anh ao ước. Anh đã có thể thoải mái thưởng thức những món ăn yêu thích của mình, tự tin hơn với nụ cười của mình.

Anh Long MLee cho biết: “Răng Implant giúp tôi ăn uống thoải mái hơn. Nhiều bạn bè không nhận ra đây là răng giả. Với những món cứng, dai, tôi cũng có thể ăn thoải mái, cầu răng sứ hay hàm tháo lắp trước đây thì không thể đáp ứng được điều này. Tôi rất cảm ơn nha khoa I-Dent đã cho tôi có được một hàm răng chắc đẹp để ăn uống và giao tiếp”.

Nha khoa I-Dent là một trong những cơ sở chuyên sâu cấy ghép Implant tại TP.HCM. Đội ngũ tiến sĩ, bác sĩ ở đây là những người đã có hơn 10 năm tu nghiệp tại Pháp. Nha khoa I-Dent đã thực hiện cấy ghép thành công có hơn 7.000 bệnh nhân trong và ngoài nước.

Website: nhakhoaident.com | Hotline: 0941818616

Facebook: facebook.com/NhaKhoaIDent

Thời gian làm việc: 8h-20h (từ thứ Hai đến thứ Bảy); 8h-12h (chủ nhật)

Cơ sở 1: 193-195A Hùng Vương, phường 9, quận 5, TP.HCM

Cơ sở 2: 19V Nguyễn Hữu Cảnh, phường 19, quận Bình Thạnh, TP.HCM

DLS Inc lay sang tao lam nen tang thanh cong hinh anh

DLS Inc lấy sáng tạo làm nền tảng thành công

0

Với không gian làm việc mở và sáng tạo, đội ngũ nhân viên trẻ của DLS Inc được tự do thể hiện cá tính, quan điểm nghệ thuật để tạo ra những sản phẩm chất lượng cao.

Nhuc nhoi nan 'than thanh' thuc pham chuc nang hinh anh

Nhức nhối nạn 'thần thánh' thực phẩm chức năng

0

Sự bùng nổ của thương mại điện tử đang mở ra cơ hội lớn cho doanh nghiệp và người tiêu dùng, nhưng cũng đồng thời trở thành “mảnh đất màu mỡ” cho gian lận thương mại, hàng giả, hàng nhái.

Thái Trà

Bạn có thể quan tâm