Bạn có thể chuyển sang phiên bản mobile rút gọn của Tri thức trực tuyến nếu mạng chậm. Đóng

Mắc ung thư di căn vì tưởng viêm gan B 'đã ngủ yên'

Phát hiện u gan 12 cm khi đã quá muộn, từng bị tiên lượng sống 9 tháng, người đàn ông trải qua hành trình 3 năm điều trị đầy biến chứng để giành lại sự sống.

Bác sĩ chuyên khoa II Nguyễn Trường Giang, Phó Giám đốc Trung tâm Phẫu thuật Gan mật - Tiêu hóa, Bệnh viện Bệnh Nhiệt đới Trung ương, thăm khám cho bệnh nhân.

Bệnh nhân N.V.T. (trú tại Hà Nội) bắt đầu bằng những dấu hiệu mơ hồ như mệt mỏi, ăn uống kém và sút cân vào tháng 7/2023. Trước đó một tháng, dù cơ thể đã có những phản ứng bất thường, nhưng ông T. chỉ nghĩ do đi lại nhiều nên chủ quan không đi khám.

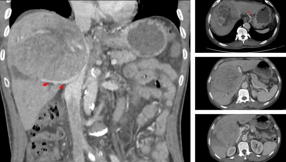
Khi kiểm tra, kết quả khối u gan đã đạt kích thước khổng lồ 10-12 cm. Tại một số cơ sở y tế, ông từng nhận được tiên lượng thời gian sống còn lại có thể không quá 9 tháng.

Điều đáng nói, qua khai thác bệnh sử, ông T. đã biết mình mắc viêm gan B từ trước. Tuy nhiên, do có thời điểm virus ở thể không hoạt động, ông nảy sinh tâm lý chủ quan, nghĩ rằng bệnh đã "ổn định" nên bỏ qua việc theo dõi định kỳ. Chính sự lơ là này đã tạo điều kiện cho các tế bào ác tính âm thầm xâm chiếm cơ thể mà không hề có dấu hiệu cảnh báo rõ ràng.

Theo bác sĩ chuyên khoa II Nguyễn Trường Giang, Phó Giám đốc Trung tâm Phẫu thuật Gan mật - Tiêu hóa, Bệnh viện Bệnh Nhiệt đới Trung ương, ngay khi tiếp nhận, đây đã là một ca bệnh rất nặng. Khối u khổng lồ chiếm gần hết nhu mô gan, chèn ép rốn gan và tĩnh mạch, gây ra tình trạng cổ chướng nhẹ và phù hai chân.

ung thu gan anh 1

Khi kiểm tra, kết quả khối u gan đã đạt kích thước khổng lồ 10-12 cm.

Các bác sĩ đã quyết định tiến hành cuộc đại phẫu cắt gan trung tâm kéo dài gần 8 giờ. Tuy nhiên, sau mổ, bệnh nhân xuất hiện biến chứng rò mật và hẹp tắc đường mật phân thùy sau. Ê-kíp đã nỗ lực đặt dẫn lưu đường mật qua da nhưng không thể can thiệp đặt stent xuống ống mật chủ.

Đồng thời, tình trạng nhiễm trùng đường mật diễn biến nặng với vi khuẩn đa kháng thuốc kèm theo suy gan, khiến quá trình điều trị kéo dài với diễn biến rất phức tạp.

Suốt 5 tháng tiếp theo là giai đoạn khó khăn nhất. Dịch mật rò rỉ liên tục khiến cơ thể suy kiệt, cân nặng của ông sụt giảm từ 57 kg xuống chỉ còn 38 kg. Những cơn sốt cao 39-40 độ C kéo dài liên miên khiến người bệnh kiệt sức, phải điều trị bằng kháng sinh mạnh.

Trong lúc tình trạng đang rất mong manh, gia đình cho bệnh nhân sử dụng thuốc Nam không rõ nguồn gốc theo mách bảo. Hậu quả là bệnh nhân bị biến chứng xuất huyết tiêu hóa, buộc phải cấp cứu khẩn cấp, làm gián đoạn nghiêm trọng quá trình hồi phục.

Không bỏ cuộc, đến tháng 12/2023, khi thể trạng ổn định, các bác sĩ quyết định phẫu thuật lần hai để xử lý triệt để nguồn rò mật và ổ nhiễm trùng. Trong quá trình điều trị, bệnh nhân tiếp tục phát hiện thêm hai khối u tái phát - một đặc điểm thường gặp của ung thư giai đoạn muộn. Bằng sự phối hợp đa chuyên khoa giữa phẫu thuật, nút mạch và đốt u cao tần, các tổn thương dần được kiểm soát.

Theo bác sĩ chuyên khoa II Nguyễn Trường Giang, đây là một trường hợp điển hình của ung thư gan phát hiện muộn với quá trình điều trị kéo dài, nhiều biến chứng và đòi hỏi sự phối hợp chặt chẽ giữa nhiều chuyên ngành.

Nếu bệnh nhân được phát hiện và theo dõi viêm gan B từ sớm và đều đặn, nguy cơ tiến triển thành ung thư gan hoàn toàn có thể được kiểm soát.

Sau gần 3 năm kiên cường chiến đấu, hiện tại tình trạng của ông T. ổn định, cân nặng phục hồi và các chỉ số ung thư được kiểm soát. Kết quả này là sự tổng hòa của phác đồ điều trị bài bản, sự kiên trì của người bệnh và sự đồng hành của gia đình.

Cuốn sách Đứa trẻ khỏe mạnh về cảm xúc mang tới cái nhìn toàn diện hơn về vai trò của việc giáo dục trong quá trình định hình tính cách của con trẻ. Trong hành trình nuôi dưỡng một đứa trẻ việc xây dựng một thế giới tinh thần phong phú, quan trọng không kém gì quá trình phát triển về thể chất tới cho các bà mẹ nhiều kiến thức hữu ích trong năm đầu nuôi con.

Quen kiểu ngồi khoanh chân, chàng trai 19 tuổi bất ngờ bị liệt

Từ cảm giác tê nhẹ ở bàn chân, nam sinh 19 tuổi nhanh chóng yếu cơ, thay đổi dáng đi và được chẩn đoán liệt dây thần kinh mác do thói quen ngồi khoanh chân.

Sai lầm ăn uống âm thầm tàn phá thận

Tưởng bồi bổ là tốt, nhiều người mắc thận hư lại vô tình khiến bệnh tiến triển nhanh hơn vì ăn uống thiếu kiểm soát.

Những sai lầm khi chạy bộ có thể khiến trái tim 'dừng lại'

Tưởng chừng chỉ còn vài bước về đích, một vận động viên bất ngờ ngừng tim. Sự cố cho thấy nguy cơ đột tử có thể xảy ra ngay cả với người trẻ, khỏe.

Phương Anh

Bạn có thể quan tâm