Bạn có thể chuyển sang phiên bản mobile rút gọn của Tri thức trực tuyến nếu mạng chậm. Đóng

Căn bệnh khiến bé trai đau bụng suốt một tháng

Bệnh nhi nhập viện do đau bụng từng cơn hơn một tháng gần đây, khó đi ngoài kèm theo buồn nôn, không sốt.

Đau bụng một tháng, bệnh nhi bất ngờ được phát hiện có u trong ổ bụng. Ảnh minh họa: Scripps Health.

Sau khi được đưa vào Bệnh viện Sản nhi Nghệ An, bệnh nhi L.D.M. (3 tuổi, ngụ huyện Quỳ Hợp) được chỉ định siêu âm ổ bụng và phát hiện bất thường ở vị trí từ hạ sườn trái đến hố chậu trái.

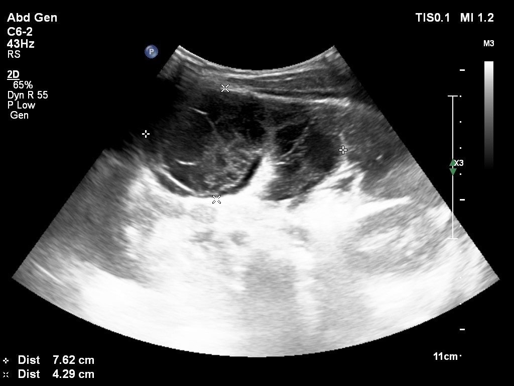
Kết quả siêu âm cho thấy tại đây có cấu trúc giảm âm dạng nang dịch, kích thước 11x8x5 cm, thành mỏng, bên trong có dịch vách hóa, đè đẩy đại tràng xuống ra đằng sau. Ngoài ra, ổ bụng bệnh nhi có ít dịch tự do đồng nhất. Hình ảnh siêu âm nghĩ nhiều đến u nang mạc treo (lymphangioma).

u mac treo anh 1

Hình ảnh siêu âm của bệnh nhi cho thấy dấu hiệu của u mạc treo. Ảnh: BVCC.

U mạc treo ruột là khối u ở mạc treo ruột non, đại tràng có thể sờ thấy khối trong ổ bụng. Khối u dễ nhầm với các bệnh lý khác của ổ bụng,cần thiết phải chẩn đoán hình ảnh học hay làm các xét nghiệm cần thiết để chẩn đoán xác định.

U mạc treo có thể bắt gặp ở bất kì độ tuổi nào từ lúc mới sinh cho đến trưởng thành. Trong các loại u mạc treo, u ác tính nguyên phát của mạc treo rất hiếm, có thể hiếm như u ác tính của ruột non.

Theo các bác sĩ khoa Thăm dò chức năng, Bệnh viện Sản Nhi Nghệ An, u mạc treo ruột gây ra các biểu hiện đau do có thể khối u choán chỗ lên phúc mạc hay tạo lực kéo lên mạc treo. Đây là cảm giác đau sâu và thường ở trung tâm ổ bụng.

Bệnh có thể gây ra các triệu chứng của tắc ruột như đau bụng cơn, buồn nôn và nôn, bí trung đại tiện.

Những biểu hiện này thường xảy ra khi người bệnh có u mạc treo lành tính kích thước lớn hoặc u mạc treo ác tính giai đoạn muộn.

Ngoài ra, các triệu chứng khác của u mạc treo ruột có thể gặp là sờ thấy khối u ổ bụng, buồn nôn, nôn, tiêu chảy, đầy hơi, táo bón.

U mạc treo có thể gây đè ép ruột non, xoắn ruột, nhồi máu khối u gây hoại tử ruột. Nếu không được chẩn đoán kịp thời, bệnh nhân có thể tử vong.

Cuốn sách bên bờ sự sống

Ngành y là ngành luôn chứng kiến ranh giới sự sống - cái chết của người khác, nhưng Khi hơi thở hóa thinh không lại là một cuốn sách đặc biệt khi nó là khoảnh khắc đối diện cái chết của người viết trong cả vai trò bác sĩ lẫn bệnh nhân. Cuốn hồi ký được bác sĩ thần kinh Paul Kalanithi viết khi căn bệnh ung thư trở nặng, anh ngồi trên xe lăn và nhớ về những tháng ngày cống hiến cho ngành y.

Sang chấn tâm lý vì bất ngờ mắc bệnh tình dục

Nam thanh niên thậm chí từng có ý định tự tử sau khi biết mình mắc HIV từ người yêu đã phản bội.

Linh Thùy

Bạn có thể quan tâm