Bạn có thể chuyển sang phiên bản mobile rút gọn của Tri thức trực tuyến nếu mạng chậm. Đóng

Bé trai 7 tháng tuổi mắc khối u não khổng lồ

Vượt qua cuộc đại phẫu nghẹt thở, các bác sĩ Bệnh viện Nhi đồng 1 (TP.HCM) đã bóc tách thành công khối u não phát triển thần tốc, giành lại sự sống cho bé trai chỉ mới 7 tháng tuổi.

Bệnh nhi ổn định sức khoẻ sau mổ. Ảnh: BVCC.

Bệnh nhi T.G.K. (ngụ Đồng Tháp) được phát hiện bất thường từ khi 3 tháng tuổi với biểu hiện đầu to dần sau sinh, nôn ói sau bú và mắt nhìn xuống. Trong quá trình thăm khám, bác sĩ ghi nhận bé có tình trạng tăng áp lực nội sọ (vòng đầu lớn, thóp phồng căng, mắt giới hạn nhìn lên).

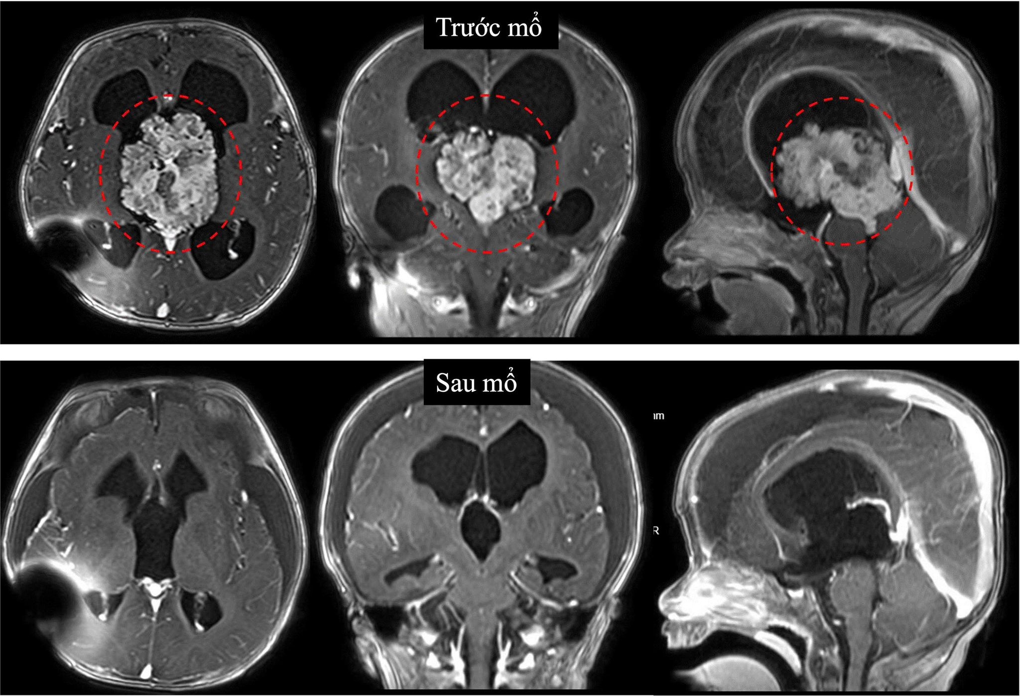
Kết quả siêu âm qua thóp và chụp cộng hưởng từ xác định khối u nằm ở não thất III, gây chèn ép dẫn đến não úng thủy tắc nghẽn nặng. Đây là vị trí sâu trong não, tập trung nhiều cấu trúc thần kinh và mạch máu quan trọng, khiến việc phẫu thuật tiềm ẩn nguy cơ cao.

Kết quả giải phẫu bệnh sau đó xác định đây là u đám rối mạch mạc không điển hình độ 2, một dạng u hiếm của hệ thần kinh trung ương.

Trước đó, do bệnh nhi còn quá nhỏ, các bác sĩ đã đặt dẫn lưu não thất - ổ bụng vào cuối tháng 11/2025 nhằm giảm áp lực nội sọ tạm thời và theo dõi thêm. Tuy nhiên, sau 3 tháng, khối u phát triển nhanh, tăng kích thước hơn 3 lần, buộc ê-kíp phải chỉ định phẫu thuật sớm.

Ca mổ được tiến hành ngày 25/3 với sự phối hợp của nhiều chuyên khoa như Ngoại thần kinh, Gây mê hồi sức và Hồi sức ngoại. Sau 6 giờ phẫu thuật căng thẳng, ê-kíp đã bóc tách thành công khối u kích thước khoảng 6 cm.

khoi u nao anh 1

Hình ảnh khối u trước và sau mổ. Ảnh: BVCC.

Theo TS.BS Trần Minh Huy, khoa Ngoại thần kinh, đây là ca mổ đặc biệt khó do khối u nằm sâu ở trung tâm não, có nhiều mạch máu nuôi, trong khi bệnh nhi còn nhỏ, nguy cơ mất máu cao. Quá trình phẫu thuật đòi hỏi sự chính xác và phối hợp chặt chẽ giữa các chuyên khoa để đảm bảo an toàn tối đa.

Sau mổ, bệnh nhi được chăm sóc hồi sức tích cực và phục hồi tốt. Sau 10 ngày điều trị, bé đã ổn định và được xuất viện.

Bác sĩ Huy cho hay u não ở trẻ dưới 12 tháng tuổi chỉ chiếm khoảng 5% các ca u não nhi khoa. Do trẻ chưa biết nói, triệu chứng dễ bị nhầm lẫn với các bệnh lý tiêu hóa hoặc nhiễm trùng thông thường.

Theo bác sĩ Huy, phụ huynh cần đưa trẻ đi khám sớm nếu xuất hiện các dấu hiệu bất thường như:

  • Vòng đầu: To nhanh bất thường, thóp căng phồng liên tục.
  • Ánh mắt: Hay nhìn xuống (dấu hiệu mặt trời lặn).
  • Tư thế: Đầu vẹo sang bên hoặc cổ ưỡn cong bất thường.
  • Hành vi: Quấy khóc vô cớ, lờ đờ, bỏ bú hoặc co giật.

Bác sĩ Huy nhấn mạnh việc nhận diện sớm những thay đổi bất thường, dù nhỏ, là yếu tố then chốt giúp phát hiện bệnh kịp thời và nâng cao hiệu quả điều trị cho trẻ.

Khoảng trống y khoa về một hội chứng quen thuộc

Căng thẳng độc hại là một hội chứng nhiều người gặp phải. Có điều, các nghiên cứu y khoa về vấn đề này chưa toàn diện. Đây là khoảng trống gây khó khăn cho việc điều trị. Mục Sức khỏe giới thiệu cuốn sách Tầng giếng sâu – cuốn sách mang tới cho người đọc một cái nhìn đầy đủ và sâu sắc hơn về những ảnh hưởng của "nghịch cảnh thời thơ ấu" (ACE) với sức khỏe tinh thần của con người.

Người phụ nữ 56 tuổi sinh đôi

Mang song thai ở tuổi 56, người phụ nữ Hà Nội vượt nhiều rủi ro để sinh hai bé nặng 2,9 kg và 2,4 kg, đều khỏe mạnh.

Những dấu hiệu 'vô hình' báo trước cơn đột quỵ

Đột quỵ có thể xảy ra bất cứ lúc nào, kể cả khi bạn đang khỏe mạnh. Nhận biết muộn và xử trí sai lầm là nguyên nhân khiến nhiều ca trở nặng.

4 món ăn ngon vừa bổ thận vừa tốt cho sinh lý

Không cần những thực phẩm đắt tiền, chỉ với vài nguyên liệu quen thuộc, bạn đã có thể chế biến 4 món ăn vừa ngon miệng, vừa dưỡng thận, bổ gan, cải thiện sinh lý hiệu quả.

Nguyễn Thuận

Bạn có thể quan tâm