Một người đàn ông 65 tuổi đến từ miền đông Trung Quốc phải nhập viện vì sập phổi (tràn màn khí phổi), sau buổi hát karaoke dài bất thường, South China Morning Post đưa tin.
![]() |
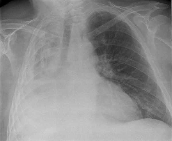
| Hình chụp X-quang của một người bị sụp phổi. Ảnh: SCMP. |
Ông Wang nói với Nanchang News rằng ông đã cảm thấy những triệu chứng ban đầu nhưng không để ý, cho đến khi ông tham gia cuộc thi "marathon karaoke".
Ông Wang nói rằng mình không thể hát cao được và điều này thật bất thường vì lúc nào ông cũng có thể lên được nốt cao mà không gặp trục trặc gì. Tuy nhiên, lần này, ông đã hết hơi và cảm thấy đau ở phổi trái.
Bác sĩ Peng Bin-fei tại Bệnh viện Nanchang nói rằng ông Wang đã bị sụp phổi, còn được gọi là tràn khí màng phổi, và cho biết chính những bài hát cao đã gây nên tình trạng trên.
"Bệnh nhân bị sụp phổi vì áp lực phổi cao do hát những nốt cao. Không nên hát những bài hát cao trong một thời gian dài hơn hai tiếng", bác sĩ Bin-fei nói.
Tràn khí màng phổi là khi có một lượng không khí bất thường trong khoang màng phổi giữa phổi và thành ngực. Các triệu chứng thường bao gồm đột ngột đau nhói, đau một bên ngực và khó thở.
Trong một số ít trường hợp, lượng không khí trong ngực tăng lên khi van một chiều được hình thành bởi một vùng mô bị tổn thương, dẫn đến tràn khí màng phổi căng.
