Tình trạng răng sứt mẻ, xỉn màu hoặc thiếu răng do sâu, gãy nhổ là nguyên nhân khiến nụ cười không còn giữ được vẻ đẹp vốn có. Người mắc tật về răng cũng giảm tự tin trong giao tiếp, đồng thời gặp khó khăn khi ăn nhai.
![]() |
| Một hàm răng đều đẹp giúp nụ cười thêm cuốn hút và tự tin. |
Sở hữu hàm răng đều đẹp
Một hàm răng bị lệch lạc, quá thưa hoặc sứt mẻ, gãy vỡ sẽ khiến chủ nhân khó tự tin trong nói cười, giao tiếp. Tuy nhiên, nếu lựa chọn đúng bệnh viện thẩm mỹ uy tín, những vấn đề này có thể được giải quyết dứt điểm và hiệu quả nhờ vào phương pháp răng sứ 2016. Răng sứ thực chất là một loại răng giả được cấu tạo từ sứ cao cấp, có hình dáng và chức năng tương tự răng thật. Tùy vào từng tình trạng, nha sĩ có thể áp dụng nhiều phương pháp khác nhau với răng sứ như bọc răng hoặc trồng răng thay thế.
Bọc răng sứ được chỉ định đối với các trường hợp răng thật bị sứt mẻ, mọc thưa, mọc lệch, xỉn màu. Bằng kỹ thuật chỉnh nha, bác sĩ nha khoa sẽ mài chiếc răng bị khiếm khuyết và ốp răng sứ vào. Phương pháp này không chỉ cải thiện thẩm mỹ cho răng mà còn tạo một lớp bảo vệ răng hữu hiệu. Khách hàng có thể lựa chọn bọc một hoặc nhiều răng, thậm chí bọc nguyên hàm (đối với răng thưa) và có thể kết hợp với niềng răng tùy vào tình trạng răng.
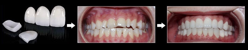
![]() |
| Sử dụng bọc răng sứ thẩm mỹ để khắc phục răng mọc lệch, khấp khểnh tại Bệnh viện thẩm mỹ JW Hàn Quốc. |
Trồng răng sứ thường được áp dụng với những răng đã bị mất do gãy nhổ. Trồng răng bao gồm các kỹ thuật như tạo cầu răng sứ, cấy ghép implant.
Tạo cầu răng sứ là cách đơn giản. Nha sĩ sẽ sử dụng 2 chiếc răng kề bên để tạo trụ cầu, sau đó dán răng sứ vào để thay thế răng đã mất.
![]() |
| Phương pháp tạo cầu răng sứ dành cho trường hợp không muốn tác động tới vùng lợi và chân răng. |
Với phương pháp cấy ghép implant, nha sĩ sẽ gắn trụ implant thay thế chân răng rồi đính mão răng sứ lên phía trên, vừa đảm bảo tính thẩm mỹ lại vừa cao cấp và bền chắc hơn.
![]() |
| Trồng răng sứ bằng phương pháp cấy ghép implant thay thế chân răng.
|
Những lưu ý khi trồng răng sứ
Để có kết quả trồng răng (bọc răng) sứ như mong đợi, khách hàng cần chú ý những yếu tố sau khi lựa chọn trung tâm nha khoa.
Thứ nhất, cần lựa chọn bác sĩ nha khoa chuyên sâu để đánh giá đúng tình trạng về răng, từ đó đưa ra chỉ định phù hợp, tránh xảy ra các biến chứng về sau.
![]() |
| Với cơ sở vật chất hiện đại, đầy đủ, JW đạt tiêu chuẩn hệ thống quản lý chất lượng ISO 9001:2008.
|
Cơ sở vật chất hiện đại là yếu tố quan trọng giúp việc trồng răng diễn ra dễ dàng hơn, nâng cao tính an toàn và hạn chế các nguy cơ ảnh hưởng đến sức khỏe.
Chất liệu răng sứ cao cấp là điều đáng lưu tâm nhằm đảm bảo răng sau khi trồng bền vững, không bị mài mòn cũng như có chức năng ăn nhai, thẩm mỹ giống răng thật.
![]() |
| Hình ảnh sau khi cấy ghép implant tại Bệnh viện thẩm mỹ JW Hàn Quốc.
|
“Tuần lễ vàng - Tri ân khách hàng”, Bệnh viện thẩm mỹ JW Hàn Quốc triển khai chương trình ưu đãi 20% cho các dịch vụ nha khoa như niềng răng, tẩy trắng răng, cấy ghép implant, răng sứ. Xem thông tin chi tiết tại đây.
Bệnh viện thẩm mỹ JW Hàn Quốc chi nhánh Việt Nam
Địa chỉ: 44 - 46 - 48 - 50 Tôn Thất Tùng, phường Bến Thành, quận1, TP.HCM.
Website: http://jwhospital.vn/
Hotline: 09. 6869. 2222.





