Bạn có thể chuyển sang phiên bản mobile rút gọn của Tri thức trực tuyến nếu mạng chậm. Đóng

Một thói quen 'tự hủy' dạ dày rất nhiều người trẻ mắc

Trong tháng cuối năm 2025, Khoa Nội soi Bệnh viện Nhân dân 115 ghi nhận 40 ca xuất huyết tiêu hóa do loét dạ dày - tá tràng, trong đó 7 người dưới 35 tuổi, có ca mới 16 tuổi.

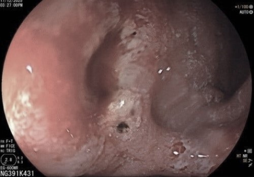
Ổ loét sâu đang chảy máu. Ảnh; BVCC.

ThS.BS Nguyễn Thiện Nhân, khoa Nội soi, Bệnh viện Nhân dân 115 (TP.HCM), cho biết tất cả bệnh nhân đều nhập viện trong tình trạng xuất huyết nặng và phải can thiệp nội soi cầm máu khẩn cấp. Thực tế này cho thấy bệnh lý tiêu hóa không còn là vấn đề riêng của người lớn tuổi.

Trường hợp N.X.H.P. (16 tuổi) khiến nhiều bác sĩ trăn trở. Ở độ tuổi còn đi học, người bệnh đã phải nội soi cấp cứu vì xuất huyết từ ổ loét dạ dày - tá tràng. Theo bác sĩ Nhân, đây là minh chứng rõ ràng cho xu hướng trẻ hóa của bệnh lý này.

Một bệnh nhân khác là H.H.V. (20 tuổi). Thói quen ăn uống thất thường, thường xuyên bỏ bữa, sinh hoạt thiếu điều độ đã âm thầm làm tổn thương niêm mạc dạ dày. Khi nhập viện, người bệnh được chẩn đoán loét hành tá tràng kèm xuất huyết nặng.

Ở nhóm tuổi 30, N.V.T.T. nhập viện sau thời gian dài chịu áp lực công việc, căng thẳng tinh thần và duy trì chế độ ăn uống thiếu khoa học. Các yếu tố này tạo điều kiện cho loét dạ dày - tá tràng hình thành và tiến triển, đến khi xuất huyết mới phát hiện.

Bác sĩ Nhân cho hay nhiều người trẻ thường chủ quan với các biểu hiện như đau thượng vị, ợ chua, đầy bụng, mệt mỏi. Tuy nhiên, nếu không được thăm khám kịp thời, các triệu chứng này có thể diễn tiến thành đi ngoài phân đen, chóng mặt, thậm chí ngất xỉu do mất máu cấp.

Nội soi tiêu hóa hiện không chỉ giúp chẩn đoán chính xác mà còn đóng vai trò quyết định trong xử trí xuất huyết. Phát hiện sớm tổn thương loét giúp điều trị kịp thời, hạn chế biến chứng nguy hiểm.

Bác sĩ Nhân khuyến cáo người trẻ cần duy trì chế độ ăn uống điều độ, hạn chế bỏ bữa, kiểm soát stress và đi khám khi có dấu hiệu bất thường, thay vì chờ đến khi xảy ra biến chứng mới nhập viện cấp cứu.

Bệnh của thời thức ăn tiện lợi

Qua 400 trang sách, bác sĩ Robert H.Lustig đã chỉ ra nguy cơ các bệnh con người có thể mắc phải trong bối cảnh thực ăn nhanh, đồ đóng hộp lên ngôi. Trong đó, Lustig nhấn mạnh rằng, thực phẩm tiện lợi được sản xuất hàng loạt chính là sát thủ âm thầm.

Cuốn sách Bệnh của thời thức ăn tiện lợi giải thích nguyên nhân gây ra tất cả bệnh mạn tính, cách thực phẩm tiện lợi đã tác động đến chúng dẫn đến tổn hại cho sức khỏe, nền kinh tế và môi trường, từ đó đề xuất giải pháp để chữa lành cho con người.

Những dấu hiệu ung thư dễ bị bỏ qua sau Tết

Sau các đợt nghỉ lễ kéo dài, cơ thể tiếp nhận nhiều thay đổi về sinh hoạt và ăn uống khiến một số dấu hiệu cảnh báo ung thư dễ bị bỏ qua. Nhận biết sớm giúp tăng cơ hội điều trị thành công.

Vaccine thủy đậu có phòng được bệnh zona?

Tôi đã tiêm vaccine thủy đậu từ trước thì có cần tiêm thêm vaccine phòng zona nữa không? Loại vaccine này nên tiêm từ độ tuổi nào để phòng bệnh hiệu quả?

Để con thông minh, mẹ nên ăn 5 món này vào cuối thai kỳ

Để con thông minh, phát triển toàn diện, mẹ bầu nên thường xuyên bổ sung các loại thực phẩm giàu dinh dưỡng dưới đây, đặc biệt vào giai đoạn cuối thai kỳ.

Nguyễn Thuận

Bạn có thể quan tâm