Bệnh nhân là ông Peter Trương (58 tuổi, Việt kiều Mỹ). Nhập viện vào cuối tháng 10 trong tình trạng bí tiểu, bệnh nhân được các bác sĩ chỉ định siêu âm bụng, chụp cộng hưởng từ vùng chậu có tiêm thuốc tương phản và kết hợp các xét nghiệm cần thiết để đánh giá tình trạng bệnh đồng thời loại trừ nguy cơ ác tính. Kết quả chụp cộng hưởng từ cho thấy thể tích tuyến tiền liệt của người bệnh là 81 ml (người bình thường chỉ khoảng 25 ml).
ThS.BS Phan Hoàng Vĩnh Phú - Đơn vị Hình ảnh học can thiệp, Trung tâm Chẩn đoán hình ảnh và Điện quang can thiệp, BVĐK Tâm Anh TP.HCM - cho biết cách đây 8 năm, người bệnh được chẩn đoán phì đại tuyến tiền liệt lành tính, triệu chứng chủ yếu là đi tiểu rặn, tiểu lắt nhắt. Khoảng một tháng trước khi nhập viện, người bệnh bị bí tiểu hoàn toàn, phải đặt và thay sonde tiểu 7 ngày/lần, gây khó khăn trong sinh hoạt.
Trước khi quyết định nhập viện tại BVĐK Tâm Anh TP.HCM, người bệnh đã tìm hiểu nhiều phương pháp điều trị phì đại tuyến tiền liệt trên thế giới.
![]() ![]() |
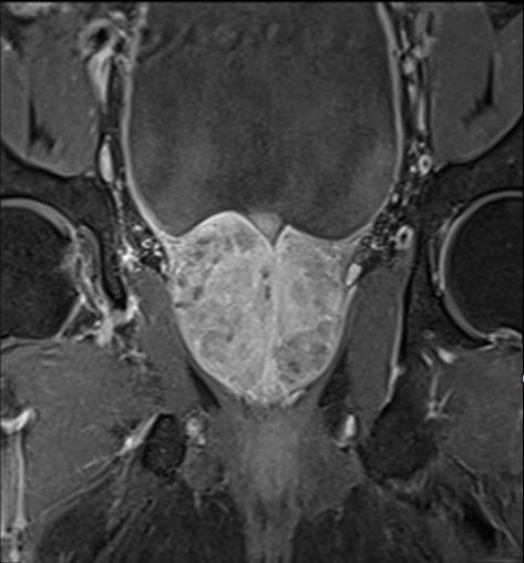
Hình ảnh chụp cộng hưởng từ cho thấy tiền liệt tuyến phì đại (mặt cắt đứng dọc và đứng ngang), lồi vào lòng bàng quang, thể tích khoảng 81 ml. |
Sau khi hội chẩn đa chuyên khoa giữa các bác sĩ Ngoại tiết niệu và Hình ảnh học can thiệp, chúng tôi thống nhất sử dụng phương pháp nút mạch tuyến tiền liệt hai bên siêu chọn lọc. Để tăng hiệu quả can thiệp, ê-kíp ứng dụng phần mềm Embolization Guidance tích hợp trí tuệ nhân tạo (AI) có khả năng xác định và vẽ đường đi của động mạch đến nuôi tuyến tiền liệt. Điều này giúp việc điều trị chính xác và rút ngắn thời gian.
Sau 2 giờ can thiệp, người bệnh được nút mạch tuyến tiền liệt siêu chọn lọc hai bên thành công và xuất viện vào hôm sau. Trong lần tái khám sau 1 tuần, người bệnh đã có thể tự đi tiểu, mỗi lần khoảng 100 ml.
|
| Ê-kíp thực hiện thủ thuật nút mạch tiền liệt tuyến cho người bệnh. |
TS.BS Hồ Hoàng Phương - Giám đốc Trung tâm Chẩn đoán hình ảnh và Điện quang can thiệp, BVĐK Tâm Anh TP.HCM - cho biết phì đại hay còn gọi là tăng sản tuyến tiền liệt lành tính là bệnh lý thường gặp ở nam giới. Theo nghiên cứu trên 15 triệu người tại Mỹ, 50-75% nam giới trên 50 tuổi và 80% nam giới trên 70 tuổi mắc bệnh. Nếu không chữa trị, tuyến tiền liệt của bệnh nhân to ra chèn ép niệu đạo và gây triệu chứng đường tiểu dưới, đặc biệt là bí tiểu, ảnh hưởng đến chất lượng cuộc sống.
Can thiệp nút mạch điều trị phì đại tuyến tiền liệt là phương pháp hiện đại, mang lại hiệu quả cao, ít xâm lấn và thời gian hồi phục nhanh. Bệnh nhân được gây tê tại chỗ vùng bẹn để đưa ống thông vào động mạch đùi, sau đó đi vào động mạch nuôi tuyến tiền liệt và bơm hạt vi cầu nhằm gây tắc các mạch máu nuôi tiền liệt tuyến. Do được nút tắc các nhánh mạch nuôi nên khi cắt nguồn dinh dưỡng, tiền liệt tuyến không to thêm, dần teo nhỏ, không chèn ép đường niệu đạo. Phương pháp này giúp người bệnh giảm và hết tình trạng bí tiểu, tiểu nhiều lần, tiểu đêm… mang lại chất lượng sống tốt hơn.
*Tên nhân vật được thay đổi
Hệ thống Bệnh viện Đa khoa Tâm Anh đồng hành cùng Zing News thực hiện tuyến nội dung “Vì sức khỏe cộng đồng” mang đến cho bạn đọc cái nhìn toàn cảnh về sức khỏe của người Việt. Hệ thống BVĐK Tâm Anh là một trong những bệnh viện chất lượng cao tại Việt Nam, thực hiện thăm khám, điều trị và chăm sóc sức khỏe cho hàng triệu khách hàng, quy tụ đội ngũ chuyên gia, bác sĩ hàng đầu cả nước.
Độc giả có nhu cầu tư vấn, khám chữa bệnh có thể liên hệ qua website, fanpage hoặc đến trực tiếp hệ thống BVĐK Tâm Anh tại Hà Nội (108 Hoàng Như Tiếp, phường Bồ Đề, quận Long Biên; hotline: 1800 6858 - 02471066858) và TP.HCM (2B Phổ Quang, phường 2, quận Tân Bình; hotline: 02871026789 - 02873006858).

