Bạn có thể chuyển sang phiên bản mobile rút gọn của Tri thức trực tuyến nếu mạng chậm. Đóng

Bệnh nhân mắc Covid-19 sống sót sau 16 phút ngưng tim

Trong khoảng thời gian điều trị Covid-19, bệnh nhân 58 tuổi ở Singapore từng phải đối mặt với "tử thần" khi bị ngưng tim trong 16 phút.

Trong 42 ngày, gia đình của ông Toh Kai Kiat, 58 tuổi, Singapore, luôn sống trong thấp thỏm, lo âu. Ông Kiat, với lá phổi bị suy yếu, là một trong những bệnh nhân mắc Covid-19 nặng nhất ở Singapore.

"Chúng tôi đi từ thiên đường xuống địa ngục, vui mừng khi ông khỏe lại, sau đó vài ngày, hy vọng lại tan vỡ khi bệnh tình của ông trở nặng", con trai của ông Kiat chia sẻ.

Ông Kiat là bệnh nhân mắc Covid-19 thứ 188 ở Singapore. Trong khoảng thời gian từ 23/2 đến 1/3, ông đã sang Thái Lan công tác và có thể đã mắc bệnh ở đây. Ông bắt đầu xuất hiện triệu chứng vào ngày 7/3 và điều trị tại 2 phòng khám tư ngày 7/3 và 9/3 nhưng không suy giảm.

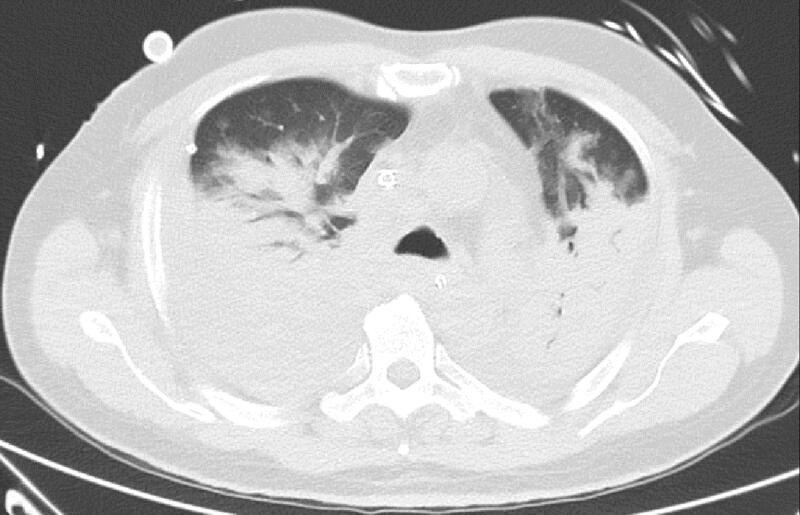
Benh nhan mac Covid-19 ngung tim anh 1

CT scan phổi cho thấy phổi của ông Kiat bị viêm và chứa đầy chất lỏng. Ảnh: Straistimes.

Ông được đưa vào Bệnh viện Khoo Teck Puat (KTPH) vào ngày 12/3 và xác nhận dương tính với SARS-CoV-2 vào chiều cùng ngày. Hai ngày sau, ông Kiat được đặt nội khí quản do nồng độ oxy trong máu ngày càng xấu đi.

Tuy nhiên, tình trạng của bệnh nhân không cải thiện và được chuyển tới Bệnh viện Đại học Quốc gia (NUH) vào ngày 17/3 để được điều trị bằng ECMO (phương pháp oxy hóa màng ngoài cơ thể).

Một lần đối mặt với "tử thần" là thời điểm ông bị ngưng tim suốt 16 phút. Các bác sĩ Bệnh viện Đại học Quốc gia Singapore (NUH) đã chiến đấu hết mình để cứu ông. Và cuối cùng, tim của ông cũng đập trở lại nhờ được hồi sức tim phổi.

Việc thiếu oxy trong máu cũng ảnh hưởng đến các cơ quan khác trong cơ thể, như thận và gan, khiến ông Kiat phải điều trị lọc máu tạm thời.

Benh nhan mac Covid-19 ngung tim anh 2

Ông Kiat tập thể dục tại nhà để hỗ trợ phục hồi. Ảnh: Straistimes.

Cuối cùng, sau nhiều ngày điều trị, ông Kiat cũng khỏe hơn và được cai máy thở vào ngày 26/3. Ngày 6/4, ông được chuyển ra khỏi phòng hồi sức tích cực. Đến ngày 22/4, ông đã hoàn toàn khỏe mạnh và được xuất viện sau 42 ngày điều trị.

Mặc dù đã khỏi bệnh, hàng ngày, ông Kiat phải tập luyện tại nhà để hỗ trợ phục hồi. Ông phải sử dụng nạng để hỗ trợ đi lại.

"Tôi muốn cảm ơn tất cả nhân viên y tế đã chăm sóc chu đáo cho tôi mọi thứ. Tôi là một người khỏe mạnh và năng vận động, nhưng căn bệnh này đã xảy ra với tôi. Vì vậy, nó có thể xảy ra với bất cứ ai. Tôi rất biết ơn và xúc động khi trở lại cuộc sống này", ông Kiat chia sẻ.

Bệnh nhân Covid-19: 'Cảm ơn bác sĩ đã mạo hiểm mạng sống để cứu tôi' Ông Xu Ming, 95 tuổi, người đã khỏi Covid-19, chia sẻ cảm xúc và kinh nghiệm của mình về thời điểm khó khăn nhất trong cuộc đời.

Cặp vợ chồng mắc Covid-19 khi tham dự bữa tiệc 200 người ở Singapore

Ông Tan, 66 tuổi, và vợ không thể quên khoảng thời gian ác mộng vì mắc Covid-19 sau khi tham dự bữa tiệc tối tại khu giải trí Safra Jurong, cụm dịch lớn nhất tại Singapore.

Loat phong kham, nha khoa o TP.HCM bi phat nang hinh anh

Loạt phòng khám, nha khoa ở TP.HCM bị phạt nặng

0

Sở Y tế TP.HCM vừa ban hành nhiều quyết định xử phạt các phòng khám, nha khoa vi phạm quy định khám chữa bệnh như không phép, dùng người chưa có chứng chỉ, quảng cáo sai.

Quan he tinh duc luc mang thai: Co nguy hiem khong? hinh anh

Quan hệ tình dục lúc mang thai: Có nguy hiểm không?

0

Nhiều cặp vợ chồng kiêng "chuyện ấy" suốt thai kỳ vì lo sẩy thai. Tuy nhiên, chuyên gia sản khoa cho biết quan hệ tình dục khi mang thai thường không nguy hiểm như nhiều người nghĩ.

Mang theo anh idol doi bac si sua mui lan 5 hinh anh

Mang theo ảnh idol đòi bác sĩ sửa mũi lần 5

0

Cơn sốt làm đẹp theo trend trên mạng xã hội khiến nhiều người sẵn sàng sửa đi sửa lại, bất chấp nguy cơ ảnh hưởng ngoại hình và sức khỏe.

Phương Mai

Bạn có thể quan tâm