Bạn có thể chuyển sang phiên bản mobile rút gọn của Tri thức trực tuyến nếu mạng chậm. Đóng

Bệnh lý nguy hiểm có thể mắc hậu Covid-19

Các biến cố thuyên tắc, huyết khối tĩnh mạch có thể xảy ra hậu Covid-19 bất kể mức độ mắc bệnh trước đó.

Đến nay, thuyên tắc phổi (PE) vẫn là mối quan tâm lớn về sức khỏe trên toàn thế giới. Đây là nguyên nhân tim mạch gây tử vong thứ 3 sau nhồi máu cơ tim và đột quỵ. Bệnh lý thuyên tắc phổi trong bối cảnh dịch Covid-19 càng làm gia tăng tỷ lệ mắc, tử vong và nhập ICU.

Một nghiên cứu đã chỉ ra tỷ lệ bệnh nhân Covid-19 tiến triển PE là 15,3% và tỷ lệ tử vong 45,1%. Hầu hết Covid-19 gây biến chứng thuyên tắc phổi được báo cáo cho đến nay đã xảy ra ở những bệnh nhân bị bệnh nặng trong thời gian nằm viện. Đôi khi, bệnh lý này được quan sát thấy ở những trường hợp nhiễm SARS-CoV-2 nhẹ và trong vài ngày đến 4 tuần sau khi xuất viện.

Ngoài ra, một số trường hợp thuyên tắc phổi xảy ra sau 3 tháng ở trường hợp mắc Covid-19 mức độ nhẹ. Thuyên tắc phổi là biểu hiện nghiêm trọng nhất của thuyên tắc huyết khối tĩnh mạch, liên quan tỷ lệ tử vong cao ngay tại thời điểm được chẩn đoán hoặc trong vài giờ sau đó.

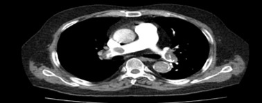
Thuyen tac phoi hau Covid-19 anh 1

Hình ảnh huyết khối lớn động mạch phổi hai bên. Ảnh: BSCC.

Theo hướng dẫn của Hội tim mạch Châu Âu năm 2019, tiêu sợi huyết đường toàn thân là phương pháp điều trị được lựa chọn đầu tiên cho bệnh nhân có PE nguy cơ cao. Tuy nhiên, nếu có chống chỉ định, phẫu thuật lấy huyết khối hoặc can thiệp lấy huyết khối bằng ống thông là những lựa chọn thay thế khác cho tái tưới máu.

Alteplase (rt-PA) vẫn là thuốc tiêu sợi huyết được dùng phổ biến nhất trong PE. Liều được chấp thuận trong PE là 100 mg truyền trong 2 giờ. Ở mức liều này, y văn đã ghi nhận những trường hợp có biến chứng chảy máu lớn (đa phần là chảy máu não), đặc biệt ở bệnh nhân lớn tuổi.

Do vậy, các nghiên cứu gần đây đã ghi nhận rt-PA liều thấp (0,6 mg/kg, tối đa 50 mg/2 giờ) cũng có hiệu quả như liều chuẩn và an toàn hơn nhiều trên phương diện chảy máu.

Đến nay, chúng ta vẫn chưa rõ thời gian quá trình trước viêm, trước huyết khối liên quan đến Covid-19 sẽ kéo dài bao lâu sau khi bệnh nhân đã thoái lui các triệu chứng: sốt, khó thở cần cung cấp oxy… Việc dự phòng thuyên tắc huyết khối ở một số nhóm đối tượng nguy cơ cao là quan trọng nhưng cần cân bằng với rủi ro xuất huyết.

Trong khi cần thêm các nghiên cứu để đưa ra khuyến cáo, Hội tim mạch Mỹ đã đề nghị dự phòng huyết khối kéo dài ở bệnh nhân Covid-19 có các yếu tố nguy cơ như giảm vận động, bệnh đồng mắc nhiều hoặc bệnh lý ác tính.

Xét nghiệm D-dimer chẩn đoán huyết khối trong máu cao gấp 2 lần giới hạn trên bình thường tại thời điểm xuất viện cũng là một chỉ điểm để dùng kháng đông kéo dài.

Mắc Covid-19 là yếu tố nguy cơ độc lập mới gây thuyên tắc huyết khối tĩnh mạch. Các biến cố thuyên tắc, huyết khối tĩnh mạch có thể xảy ra ở bệnh nhân hậu Covid-19 bất kể mức độ của bệnh.

Thuyên tắc phổi nguy cơ cao do Covid-19 liên quan đến nguy cơ tử vong tăng cao, đòi hỏi phải nhận biết và điều trị sớm. Việc dự phòng thuyên tắc huyết khối tĩnh mạch do Covid-19 ở một số nhóm đối tượng nguy cơ cao là cần thiết. Tuy nhiên, chúng ta cần thêm các bằng chứng nghiên cứu và đồng thuận.

Bác sĩ Nguyễn Nhật và thạc sĩ, bác sĩ nội trú Trương Văn Khánh Nguyên, khoa Nội Tim mạch, Bệnh viện Đa khoa tỉnh Quảng Trị, cung cấp thông tin.

Các biện pháp giảm đau rát họng hậu Covid-19

Đau rát họng, kèm ho khan, là một trong những di chứng hậu Covid-19 phổ biến có thể gây khó chịu cho người bệnh.

Nguyễn Nhật - Khánh Nguyên

Bạn có thể quan tâm