Bạn có thể chuyển sang phiên bản mobile rút gọn của Tri thức trực tuyến nếu mạng chậm. Đóng

Bé 2 tuổi ngất xỉu sau khi uống nhầm chất tẩy trắng giày dép

Trẻ nhập viện trong tình trạng quấy khóc, ho, thở nhanh, nôn ra máu. Gia đình cho biết trẻ có uống nhầm chất tẩy trắng giày dép đựng trong vỏ chai nước.

Bệnh viện Việt Nam - Thụy Điển Uông Bí (Quảng Ninh) vừa tiếp nhận bệnh nhi 2 tuổi nhập viện do uống nhầm chất tẩy trắng giày dép.

Theo gia đình bệnh nhi, trước đó, tại nhà, bé uống nhầm chất tẩy trắng giày dép đựng trong vỏ chai nước. Sau khi uống, bé bị ho sặc, nôn nhiều và ngất. Gia đình vội đưa bé đi cấp cứu.

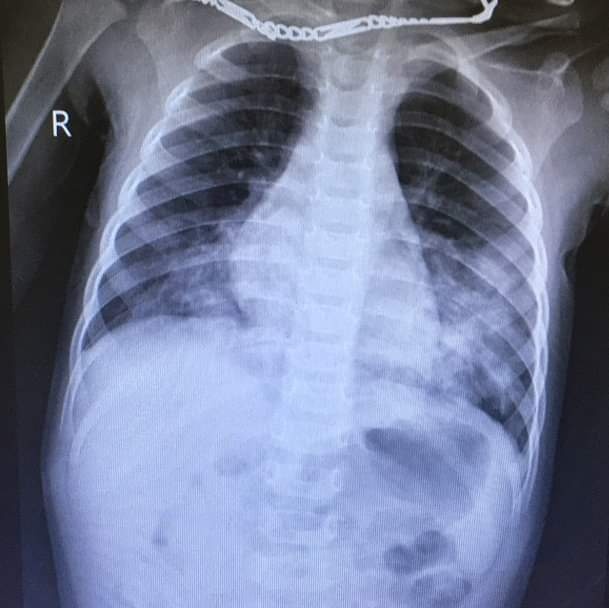
Các bác sĩ cho biết bệnh nhi nhập viện trong tình trạng quấy khóc, ho, thở nhanh, nôn ra máu. Sau khi tiến hành các xét nghiệm cần thiết, bé được chẩn đoán viêm phổi, xuất huyết tiêu hóa trên nghi ngộ độc chất tẩy trắng giày dép.

Tre uong nham hoa chat tay trang anh 1

Sau khi tiến hành các xét nghiệm cần thiết, bé được chẩn đoán viêm phổi, xuất huyết tiêu hóa trên. Ảnh: BSCC.

Ngay lập tức, các bác sĩ đã cho trẻ thở oxy, đặt sonde dạ dày, truyền dịch, tiêm kháng sinh, dùng thuốc giảm tiết axit.

Theo bác sĩ CKI Đào Thị Loan - Phó trưởng khoa Nhi - trẻ uống phải các chất tẩy rửa tiềm ẩn rất nhiều nguy cơ có thể xảy ra như gây bỏng niêm mạc đường tiêu hóa, suy hô hấp. Nhiều trường hợp còn gây chít hẹp thực quản, dò thực quản.

Khoa Nhi đã từng tiếp nhận và điều trị rất nhiều trường hợp trẻ uống phải nước lau kính, dầu hỏa, dung dịch acetone.

Qua đây, các bác sĩ khuyến cáo cha mẹ cần cẩn trọng đối với hóa chất, chất tẩy rửa tại gia đình, cần để xa tầm tay trẻ em. Đặc biệt, không nên đựng những chất này trong các loại chai dễ nhầm lẫn với nước uống. Ngay khi phát hiện trẻ uống nhầm chất tẩy rửa, cần cho trẻ uống nhiều nước hoặc sữa để làm loãng lượng dung dịch. Sau đó, cha mẹ cần đưa trẻ đến ngay các cơ sở y tế gần nhất để điều trị.

Bác sĩ Loan lưu ý gia đình tuyệt đối không gây nôn cho trẻ. Vì bản chất của những chất này là ăn mòn, gây nôn có thể khiến tình trạng bệnh nặng thêm.

Cả nhà đi cấp cứu vì ăn phải rau có thuốc trừ sâu

Mới phun thuốc trừ sâu vài ngày, một gia đình ở Đài Loan (Trung Quốc) vẫn hái rau về nấu lẩu. Sai lầm này khiến cả gia đình phải nhập viện.

Phương Mai

Bạn có thể quan tâm