Sán dây chó tạo u trong phổi
Giáo sư, tiến sĩ Nguyễn Văn Đề, nguyên Chủ nhiệm bộ môn Ký sinh trùng Trường ĐH Y Hà Nội cho biết, hơn 30 năm làm nghề, đây là lần đầu tiên phát hiện được loại sán dây chó gây khối u khổng lồ trên người Việt Nam.
Cụ thể, tiến sĩ Đề cho biết, bệnh nhân đầu tiên là T. 42 tuổi (Thanh Hóa) nhập viện vào tháng 3/2013.
![]() |
| Chụp hình ảnh bệnh nhân ở Thanh Hóa bị sán chó làm tổ tạo u trong phổi. |
“Bệnh nhân được chẩn đoán u phổi và bị chỉ định cắt bỏ một thùy phổi kèm khối u. Khối u của bệnh nhân là một bọc nước. Tuy nhiên, chúng tôi vô cùng kinh hãi khi trong bọc nước là hàng nghìn đầu sán đang ngoe nguẩy. Kết quả xét nghiệm khẳng định là loại sán dây chó”, tiến sĩ Đề nói.
Bệnh nhân T. sau phẫu thuật bóc bỏ khối u đã hoàn toàn khỏi bệnh. Tuy nhiên, đến tháng 8/2013, có thêm bệnh nhân nữ tên H. (Sơn La) có biểu hiện tức ngực, khó thở, ho ra máu và tưởng mình lao phổi.
Sán dây chó (Echinoccocus) trưởng thành dài 3 – 6 mm gồm 3 – 4 đốt, ký sinh ở ruột non họ chó. Ấu trùng sán dây chó ký sinh ở động vật có vú như chó, mèo, gấu, báo, khỉ, người và có khi ở cừu, dê, bò, lạc đà, hươu và động vật gậm nhấm.
Trên người, ấu trùng ký sinh ở gan hay phủ tạng khác tạo những bọc nước lớn chứa nhiều đầu sán, các bọc nước này thường ở gan (65%), ở phổi (10%) và ở một số cơ quan khác như thận, não.
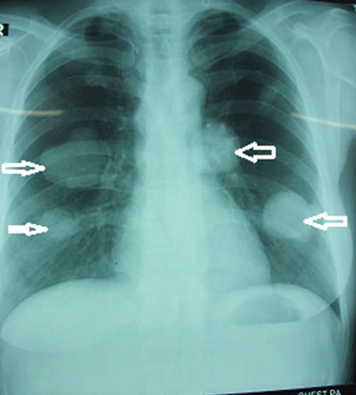
Bệnh nhân nhập viện Lao phổi Trung ương để điều trị, kết quả chụp X-quang cho thấy bệnh nhân có 4 khối u khổng lồ trên phổi.
Đây là trường hợp rất nguy hiểm, bởi mỗi bên phổi bệnh nhân có 2 khối u và không thể phẫu thuật. Nếu cắt sẽ phải cắt toàn bộ phổi và bệnh nhân sẽ tử vong ngay. Các bác sĩ đã chọc dò hút dịch để kiểm tra thì thấy hàng nghìn đầu sán ở mỗi ổ.
Do bệnh nhân không thể phẫu thuật nên được điều trị bằng thuốc, sau 6 tháng uống thuốc chúng tôi kiểm tra thì khối u đã giảm được một nửa.
![]() |
| Loại sán chó chỉ có thể nhìn bằng kính hiển vi, có thể gây tử vong cho người bệnh. Ảnh chụp phổi bệnh nhân là cán bộ y tế bị sán chó làm tổ trong 2 bên phổi. |
"Bệnh nhân này là cán bộ y tế, hiện vẫn đi làm bình thường. Tuy nhiên, do vẫn còn ho ra máu, kết quả xét nghiệm vẫn còn sán dây chó, nên bệnh nhân vẫn phải tiếp tục uống thuốc”, tiến sĩ Đề chia sẻ.
Theo các bác sĩ, tuy là hai ca bệnh đầu tiên phát hiện ở Việt Nam nhưng điều khiến các bác sĩ “choáng” là số lượng ấu trùng quá lớn trong khối u. Khối u chỉ khoảng 6-7 cm nhưng chứa bên trong hàng nghìn, hàng vạn đầu sán.
Đặc biệt các đầu sán có khả năng tự nhân lên. Nguy hiểm nhất là nang nước có thể bị vỡ ra giải phóng hàng vạn đầu sán và những đầu sán này bám vào cơ quan phủ tạng khác và tạo nên u mới, có thể dẫn đến tử vong cho người bệnh.
Lây qua các loại rau, ruồi nhặng và khó phòng bệnh
Tiến sĩ Đề cho biết, sán dây chó là loai sán thường gặp ở các nước châu Âu. Tác nhân gây bệnh là Echinococcus, một loài sán dây ký sinh trong ruột của họ chó. Trứng của chúng theo phân ra ngoài môi trường và phát tán vào đất, bụi, rau…
Trẻ con thường dễ bị nhiễm sán chó do hay chơi đùa dưới đất, bốc thức ăn dưới đất bỏ vào miệng. Trứng sán cũng có lẫn trong rau trồng trong vườn, khi rau không được rửa sạch hay chưa nấu chín.
Khi con người ăn phải trứng, các ấu trùng giun sẽ được phóng thích, đi xuyên qua thành ruột và theo đường máu di chuyển đến gan, phổi, hệ thần kinh trung ương. Do nguồn lây bệnh có thể gián tiếp từ các loại rau, từ ruồi nhặng trong môi trường… nên rất khó phòng bệnh, tiến sĩ Đề nhấn mạnh.
Ngoài ra, để tránh lây nhiễm trực tiếp, mọi người cần giữ vệ sinh, tẩy giun sán định kỳ cho chó mèo, tắm rửa thường xuyên cho chúng. Đặc biệt, không nên âu yếm chó mèo, hôn hít chúng vì làm tăng nguy cơ nhiễm bệnh hơn, nhất là trẻ em, người già, phụ nữ mang thai...
Phải chuẩn đoán bằng hình ảnh và hút dịch kiểm tra
Dấu hiệu bị sán cho là thấy cơ thể bị mệt mỏi, đau vùng có ấu trùng sán ký sinh. Tùy thuộc phủ tạng sán ký sinh mà có những triệu chứng tương ứng. Ví dụ ở phổi kèm theo ho, có khi ho ra máu.
Bệnh nhân cần kiểm tra bằng chẩn đoán hình ảnh để phát hiện nang nước và hút dịch kiểm tra ký sinh trùng. Khi phẫu thuật cần tuyệt đối tránh để nang nước vỡ, khiến đầu sán phát tán.

