Câu chuyện bắt đầu khi Carla McPhie, cô sinh viên năm cuối của Đại học Laurier bắt đầu có những cơn đau đầu dai dẳng. Cô được đưa vào viện trong tình trạng gặp ảo giác âm thanh. Cô chân tay run rẩy, toàn thân co giật.
TheoNgay sau khi chụp CT, bác sĩ phát hiện một vùng trắng lớn trong não Carla. Họ đưa ra 4 khả năng: nhiễm trùng, hậu quả của một cơn co giật, khối u lành, hoặc xấu nhất là ung thư não. Vài ngày sau, McPhie được chuyển đến viện Sunnybrook, Toronto. Sau khi chụp cắt lớp, bác sĩ hẹn lịch mổ sau 2 tuần. Tối đó, cơn đau đầu trở nên tồi tệ hơn. Moócphin thông thường không thể giúp đẩy lui cơn đau. Suốt đêm, cô không tài nào ngủ nổi.
![]() |
|
Khuyên lưỡi. Nguồn: Wikimedia. |
Sau khi được truyền thêm moócphin, thấy con gái có vẻ ổn định, bố mẹ Carla tưởng cuối cùng cô cũng ngủ được ngon lành. Tuy nhiên, khi y tá đến kiểm tra thì thấy Carla không có phản ứng. Họ vội gọi bác sĩ cấp cứu.
Ngay khi ổn định lại, Carla lập tức được đưa đến phòng phẫu thuật. Tại đây, các bác sĩ đã phải mở một mảng sọ, tìm và cắt bỏ khối sưng. Họ tìm thấy một vùng áp xe trong não của cô gái.
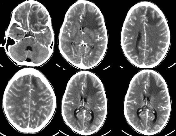
![]() |
|
Áp xe não. Nguồn: Pedsradiology. |
Vài ngày sau, kết quả xét nghiệm dịch lấy từ khối áp xe được gửi đến. Hóa ra ổ bệnh trong não Carla là do vi khuẩn Streptococcus milleri gây ra. Đây vốn là loại vi khuẩn thường thấy trong miệng và hệ tiêu hóa. Nhưng trong trường hợp của Carla, vi khuẩn này lại xâm chiếm não bộ. Để chống lại sự nhiễm khuẩn, cơ thể đã sản sinh ra các tế bào bạch cầu. Các tế bào miễn dịch đã chết và chất bẩn kết hợp lại tạo thành ổ áp xe. Ổ áp xe này đè lên não, đe dọa mạng sống của Carla.
![]() |
|
Khuẩn Streptococcus. Nguồn: Microbewiki |
Trong một số trường hợp, vi khuẩn Streptococcus milleri có thể đi vào đường máu và tấn công các cơ quan quan trọng của cơ thể như phổi và não. Theo kênh Animal Planet, hàng năm ở Mỹ có hơn 10.000 người bị vi khuẩn Streptococcus milleri tấn công, và có đến 1800 ca tử vong.
Truy lại căn nguyên, các bác sĩ nghi ngờ đây là hậu quả của việc xỏ khuyên lưỡi 10 tháng trước của Carla, khi cô đi du lịch ở Pháp cùng bạn bè.
Theo bác sĩ Richard Martinello, chuyên gia về bệnh truyền nhiễm tại Đại học Yale (Mỹ), lưỡi là nơi tập trung nhiều mạch máu và động mạch. Bất kì kiểu nhiễm trùng nào tại đây cũng có thể đi thẳng bào mạch máu, bơm qua tim đến các phần của cơ thể, trong đó có não bộ.
Điều lạ ở trường hợp của Carla là cô không gặp khó chịu gì với chiếc khuyên lưỡi. hàng ngày cô vẫn rửa thường xuyên bằng nước súc miệng. 2 tuần sau khi xỏ, vết sưng ở lưỡi xẹp hoàn toàn, cô cũng không bị xoang hay nhiễm trùng đường miệng nào.
May mắn là 3 tuần sau phẫu thuật, Carla đã được xuất viện. Cô phải tiếp tục uống thuốc chống co giật để đề phòng biến chứng do vết sẹo ở não gây ra. Theo Carla thổ lộ, cô nhớ những trò đẩy lưỡi khi còn xỏ khuyên, nhưng sẽ không bao giờ thử lại trò này lần hai, bởi theo cô: "Không thể đánh liều chỉ vì một cái khuyên trên người".


