Bạn có thể chuyển sang phiên bản mobile rút gọn của Tri thức trực tuyến nếu mạng chậm. Đóng

Phẫu thuật nội soi cho trẻ 4 tuổi có tiền sử viêm tụy cấp

Bệnh nhi 4 tuổi (ở Quảng Ninh) phải nhập viện gấp do có tiền sử viêm tụy cấp. Sau khi được phẫu thuật để loại bỏ u nang ống mật chủ, tình trạng sức khỏe của bệnh nhi đã ổn định.

Sau khi hội chẩn chuyên khoa, các bác sĩ quyết định phẫu thuật nội soi cắt bỏ nang ổng mật chủ. Ảnh: BVCC.

Theo Bệnh viện Sản Nhi Quảng Ninh, u nang ống mật chủ là bệnh lý dị dạng bẩm sinh ít gặp của đường mật. Biểu hiện lâm sàng của bệnh giai đoạn sớm rất mơ hồ, có thể đau tức vùng hạ sườn phải, vàng da, buồn nôn.

Tuy nhiên, nhiều trẻ đôi khi không có triệu chứng, có khi lại biểu hiện ở bệnh lý của cơ quan khác, hoặc được phát hiện bị u nang ống mật chủ khi đã xuất hiện biến chứng nặng.

Ngày 5/1, bác sĩ khoa Ngoại chuyên khoa, Bệnh viện Sản Nhi Quảng Ninh cho biết bệnh viện đã tiếp nhận trường hợp bé trai H.H.L (4 tuổi), sống tại TP Cẩm Phả (Quảng Ninh).

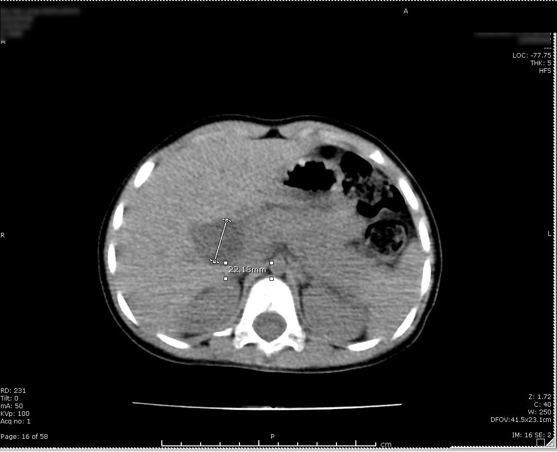
Bệnh nhi nhập viện trong tình trạng đau bụng từng cơn, kèm theo nôn nhiều và có tiền sử viêm tụy cấp nhiều lần. Các kết quả siêu âm và chụp cắt lớp vi tính ổ bụng có thuốc cản quang cho thấy ống mật chủ giãn toàn bộ thành nang đường kính chỗ rộng nhất hơn 20 mm, đến sau đầu tụy.

phau thuat anh 1

Kết quả siêu âm của bệnh nhi. Ảnh: BVCC.

Qua hội chẩn chuyên khoa, các bác sĩ phát hiện nguyên nhân dẫn đến tiền sử viêm tụy cấp ở trẻ là do u nang ống mật chủ gây ra với các cơ quan xung quanh và chỉ định thực hiện phẫu thuật nội soi cắt nang ống mật chủ, nối mật ruột quai Y cho bệnh nhi.

Kết quả giải phẫu bệnh tổ chức nang ống mật chủ của bệnh nhi rất may mắn là lành tính. Sau phẫu thuật tình trạng sức khỏe của trẻ ổn định và đã được xuất viện.

Theo bác sĩ Trịnh Trương Tuyên, phó khoa Ngoại chuyên khoa: "Đây là một trong những kỹ thuật phẫu thuật nội soi phức tạp trên bệnh nhi nhỏ tuổi với bệnh viện tuyến tỉnh. Với u nang ống mật chủ nếu được phát hiện và điều trị sớm, nguy cơ tiến triển ác tính sẽ thấp hơn. Nếu để muộn, u nang có thể tiến triển viêm hoại tử vỡ u gây biến chứng nặng nề, dẫn đến quá trình phẫu thuật, điều trị sẽ phức tạp và gặp nhiều khó khăn".

Bác sĩ Tuyên cho biết thời điểm phẫu thuật tốt nhất là khi khối u còn nhỏ, tổ chức u nang chưa viêm nhiễm nhiều và ít dính. Ngoài ra, người dân lưu ý khi trẻ có biểu hiện đau tức vùng hạ sườn phải và vàng da, gia đình cần đưa trẻ đi khám để phát hiện bệnh sớm cũng như điều trị kịp thời.

Bí ẩn của nước

Nước là một trong những thành phần quan trọng nhất đối với sức khỏe con người và sự sống trên Trái Đất. Tuy nhiên, nó ẩn chứa nhiều bí ẩn mà chúng ta chưa khám phá hết. Mục Sức khỏe của Zing giới thiệu cuốn sách Bí ẩn của nước để giúp bạn biết thêm nhiều tiềm năng của nước và nâng cao ý thức bảo vệ môi trường tự nhiên.

Những người luôn lo sợ bản thân đang mắc bệnh

Quá lo sợ sắp bị đột quỵ, Thanh Phương đo huyết áp tới 30 lần/ngày. Còn Phan Thị Nhàn lại lo lắng sẽ mất trí nhớ dù bác sĩ đã giải thích vấn đề của cô không nguy hiểm.

Nam Giao

Bạn có thể quan tâm