![]() |
| Một Labo răng sứ chuẩn mực ở Q.1, TP.HCM. |
Chi phí cho nha khoa tại Việt Nam được cho là rất mềm so với các nước trên thế giới. Ví dụ ở Úc, chi phí cho một chiếc răng sứ dao động từ 800-2.000 USD, còn phục hình cả hàm răng sẽ từ 40.000 đến 70.000 USD. Trong khi đó, với quy mô điều trị như vậy ở Việt Nam sẽ chỉ tốn khoảng dưới 10.000 USD, mà chất lượng ngang nhau. Đôi khi, răng sứ ở Việt Nam còn tốt hơn một số đơn vị y tế công ở các nước bạn.
Khách nước ngoài có thể vừa kết hợp du lịch Việt Nam kèm theo điều trị nha khoa với mức giá hấp dẫn. Chính vì vậy ngày càng nhiều những khách hàng từ Mỹ, Úc… tìm đến Việt Nam để làm răng. Trong tương lai, nếu như các lĩnh vực dịch vụ khác cùng phát triển đồng đều thì Việt Nam sẽ là điểm đến lý tưởng cho du lịch y tế trong khu vực.
Một số hình ảnh của bệnh nhân từ Úc đến Việt Nam điều trị:
![]() |
| Bệnh nhân phục hình toàn bộ 2 hàm. |
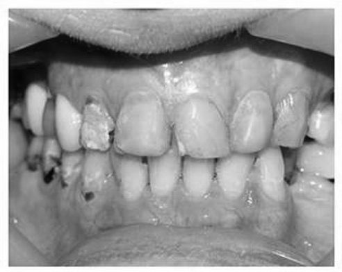
![]() |
| Răng trước khi điều trị. |
![]() |
| Răng sau khi điều trị. |
![]() |
| Bệnh nhân phục hình toàn bộ 2 hàm. |
Công ty TNHH Nha Khoa Thẩm Mỹ AVA
Địa chỉ duy nhất: 31 Trần Khắc Chân, P.Tân Định, Q.1, TP.HCM
Hotline: (08) 6288.7777 - 22.297.297
BS. Phạm Việt Hùng: 09.1615.7777
Email: info@benhvienthammy.com.vn
Website: http://benhvienthammy.com.vn
Công ty TNHH nha khoa thẩm mỹ Việt Hưng
Địa chỉ: 17-19 Lê Văn Việt - P.Hiệp Phú - Q.9 - TP.HCM
Hotline: 08.6279 1111- 08.6672 1111 - 093326 1111
Website: http://nhakhoaviethung.vn
Nha khoa Nét Việt - Phú Nhuận
Địa chỉ: 152 - Đặng Văn Ngữ - Q.Phú Nhuận - TP.HCM (Gần nhà thờ Ba Chuông)
ĐT: 08.2211 5555 - 2211 4848 - 2211 4949
Hotline: 0902 115 115
Website: http://www.nhakhoanetviet.com/
Nha khoa thẩm mỹ Hữu Cầu
Địa chỉ : 59B Nguyễn Hữu Cầu, Phường Tân Định, Quận 1, TP. HCM
Hotline : (84–8) 66.86.2222 - 0168.26.25.7777
Dr. Minh Cường : 094.8888.272
Website: nhakhoahuucau.com




