Bạn có thể chuyển sang phiên bản mobile rút gọn của Tri thức trực tuyến nếu mạng chậm. Đóng

Nam thanh niên ở Anh bị suy tim do uống nước tăng lực liên tục

Bệnh nhân 21 tuổi được ghi nhận tại Anh, đã hồi phục sau 4 tháng nằm trong phòng chăm sóc đặc biệt. Các bác sĩ nhận định người này có nguy cơ bị đột quỵ, tử vong rất cao.

Trường hợp này vừa được công bố trên tạp chí BMJ Case Reports, do nhóm chuyên gia tại khoa Tim mạch, Bệnh viện St Thomas, London, Anh, là tác giả. Theo mô tả của bài báo, bệnh nhân là nam, 21 tuổi, ở Anh. Nam thanh niên đã được xuất viện sau 4 tháng phải nằm trong phòng chăm sóc đặc biệt (ICU).

Hiện tại, bệnh nhân trong thời gian hồi phục và cần liên tục theo dõi tim mạch, thận, tiết niệu. Bác sĩ lo lắng trong thời gian tới, bệnh nhân sẽ phải tái tạo bàng quang và buộc ghép thận. Bác sĩ Andrew D'Silva, Bệnh viện St Thomas, thành viên nhóm tác giả, cảnh báo bệnh nhân trên có nguy cơ tử vong rất cao do suy tim hoặc đột quỵ.

Theo BBC, bệnh nhân chia sẻ đây là “trải nghiệm cực kỳ tồi tệ”, dù tỉnh dậy cũng không thể nhớ nổi những gì đã xảy ra và không biết vì sao mình phải nhập viện. Các bác sĩ đặt giả thuyết nguyên nhân của hiện tượng mơ hồ này là giảm cung lượng tim trong nhiều tháng. Hiện tại, anh phải tránh toàn bộ nước tăng lực nếu không muốn tình trạng này tiếp diễn.

Trong bài báo được công bố ngày 16/4, nhóm tác giả cho hay trong lần đầu tiên nhập viện cách đây 58 ngày, nam bệnh nhân có tình trạng khó thở, bụng sưng to. Qua thăm khám, các bác sĩ tại Bệnh viện St Thomas chẩn đoán bệnh nhân này bị suy thận, không thể tự làm rỗng hoàn toàn bàng quang. Trong cả hai quả thận của anh, nước tiểu không thể bài tiết đến bàng quang.

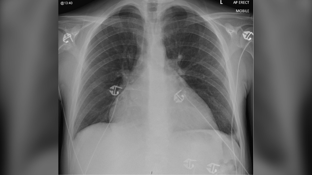
suy tim sau khi uong nuoc tang luc anh 1

Hình chụp X-quang ngực khi nhập viện của bệnh nhân cho thấy tim có kích thước lớn bất thường. Ảnh: BMJ Case Reports.

Bệnh nhân kể lại trước thời điểm nhập viện 4 tháng, anh cảm thấy thở gấp, khó thở, sụt cân. Gia đình anh không ai có tiền sử bị tim hay đột tử vì bệnh tim. Trước đó, nam thanh niên từng hút thuốc nhưng đã cai được 3 năm.

Tuy nhiên, điều đáng nói là trong vòng 2 năm trở lại đây, người này thường xuyên uống nước tăng lực, loại 500 ml/lon, mỗi lon chứa 160 mg caffein. Đỉnh điểm, có ngày, anh uống tới 4 lon. Nếu không uống nước tăng lực, anh bị đau nửa đầu nghiêm trọng. Trước đó, bệnh nhân cảm thấy khó tiêu, run, tim đập nhanh, nhưng không tới bệnh viện khám.

Ghi chép từ nghiên cứu cho thấy ê-kíp chuyên gia phát hiện bệnh nhân bị suy tim, gây cản trở cho khả năng bơm, nhận máu. Trong đầu gối, ổ bụng của người này cũng bị tích đầy chất lỏng. Kết quả chụp X-quang cho thấy tim, phổi, gan của bệnh nhân giãn to. Bệnh nhân buộc phải nhập viện ngay và nằm trong phòng chăm sóc đặc biệt liên tục 58 ngày.

Các bác sĩ nhận định thói quen uống nước tăng lực chính là nguyên nhân gây ra những hậu quả trên. Theo CTV News, đây không phải trường hợp duy nhất phải nhập viện sau khi uống quá nhiều nước tăng lực. Trước đó, 2 trường hợp khác cũng đã báo cáo về tình trạng suy tim, tổn thương sau thời gian dài uống loại đồ uống này. Đáng nói, các bệnh nhân đều khoảng 20 tuổi.

Qua những trường hợp trên, bác sĩ Andrew cho rằng chúng ta cần cảnh giác với nước tăng lực. Kết luận nước tăng lực gây ra các vấn đề về tim vẫn chưa có đầy đủ, tuy nhiên, hàm lượng caffein cao trong đồ nuống này là điều đáng lưu tâm.

Theo bác sĩ Andrew, chất kích thích như caffein có thể khiến tim đập nhanh, sau thời gian dài, cơ quan này dần yếu đi, bị kích thích quá mức. Khả năng điều chỉnh các thụ thể của nó với các chất kích thích như hormone bình thường cũng khó thực hiện được.

“Điều này có thể dẫn tới suy tim tạm thời hoặc tim kém nhạy cảm hơn ngay cả với những điều khiển bình thường”, Gizmodo dẫn lời vị chuyên gia.

Chất độc chết người có thể sinh ra từ thực phẩm hút chân không

Nhiều người lầm tưởng hút chân không có thể giúp đảm bảo vệ sinh an toàn thực phẩm. Tuy nhiên, đây có thể là môi trường thuận lợi sinh ra các độc tố chết người.

Thiên Nhan

Bạn có thể quan tâm