Bạn có thể chuyển sang phiên bản mobile rút gọn của Tri thức trực tuyến nếu mạng chậm. Đóng

Khối ung thư môi sần sùi, chảy máu mủ của người phụ nữ

Bệnh nhân nhập viện với khối u phát triển lớn ở vị trí môi dưới, di căn sang hạch cổ hai bên.

Sau phẫu thuật, bệnh nhân hồi phục bình thường. Ảnh: BVCC.

Bệnh nhân T.T.Y. (64 tuổi, Thanh Hóa) đến khám tại Bệnh viện K (Hà Nội) khi tổn thương lớn toàn bộ vùng môi, miệng đã trở nên sần sùi, chảy máu, mủ rỉ rả, hình thái gây mất thẩm mỹ.

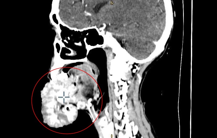
Kết quả phim chụp cắt lớp vi tính cho thấy khối u vùng môi dưới kích thước lớn 15x20 cm, xâm lấn xương hàm dưới, sàn miệng, lưỡi; di căn nhiều hạch cổ hai bên kích thước 2-3 cm. Bà Y. được chỉ định nhập viện với chẩn đoán ung thư môi dưới.

Khai thác bệnh sử, bệnh nhân cho hay có khối u xuất hiện và phát triển khoảng 3 năm nay. Tuy nhiên, thay vì đến khám tại bệnh viện, bà Y. lại nghe theo hướng dẫn của một số người sống thực dưỡng để ngăn chặn sự phát triển khối u.

Qua nhiều năm ăn thực dưỡng, sức khỏe bệnh nhân Y. ngày càng suy kiệt, tình trạng khối u không thuyên giảm, ngày càng tăng kích thước.

"Vì mặc cảm, bệnh nhân Y. không đi khám. Đến khi u quá lớn, có dấu hiệu ngày càng to nhanh, hình thù quá mất thẩm mỹ, không thể ăn uống, bệnh nhân mới tới Bệnh viện K", TS.BS Ngô Xuân Quý, Trưởng khoa Ngoại đầu cổ, Bệnh viện K, cho biết tình trạng của bệnh nhân sẽ không tệ đến mức như trên nếu tìm tới y học hiện đại sớm hơn.

Với trường hợp này, nếu bệnh nhân không phẫu thuật thì khối u sẽ ngày càng to, thậm chí vỡ loét, chảy máu, ảnh hưởng nghiêm trọng sức khỏe, thậm chí nguy cơ tử vong.

ung thu moi duoi anh 1

Khối u dưới cằm bệnh nhân Y. phát triển với kích thước lớn trong 3 năm bà theo đuổi chế độ thực dưỡng. Ảnh: BVCC.

Khi nhập viện, thể trạng của bệnh nhân đã suy kiệt, tình trạng đái tháo đường mức độ nặng, chỉ số đường huyết rất cao, tiềm ẩn nguy cơ hôn mê.

“Sau khi hội chẩn kỹ càng cũng như tư vấn cho người bệnh và người nhà, chúng tôi quyết định sẽ phẫu thuật loại bỏ khối u. Ca mổ diễn ra thuận lợi, toàn bộ khối u và khối hạch di căn vùng cổ đã được cắt bỏ", TS Quý thông tin.

Sau mổ, sức khỏe bệnh nhân ổn định có thể ăn uống, nói chuyện sau ít ngày. Bà tiếp tục được theo dõi, điều trị và mổ tạo hình về sau.

Theo các bác sĩ Bệnh viện K, thực dưỡng là chế độ ăn được nhiều người áp dụng trong những năm gần đây vì cho rằng có thể điều trị cả căn bệnh ung thư. Việc nhiều người bệnh giữ niềm tin vào quan điểm này là sai lầm, không mang tính khoa học.

Thực tế, cho đến hiện tại, không có cơ sở khoa học, nghiên cứu nào chứng minh và công nhận thực dưỡng là một phương pháp điều trị ung thư; cũng không có nghiên cứu chính thức nào cho thấy chế độ thực dưỡng hữu ích đối với người bệnh.

Do đó, ngay khi phát hiện ra các dấu hiệu bất thường, người bệnh nên đi khám chuyên khoa để nhận được sự điều trị và tư vấn của bác sĩ thay vì tin vào những lời truyền miệng, gặp phải tình trạng tiền mất tật mang như trường hợp của bà Y.

Muốn ăn uống lành mạnh nhưng hay stress công việc? Muốn tập thể dục đều đặn nhưng hay làm việc trễ? Mục Sức khỏe giới thiệu một số sách để đồng hành cùng bạn từ phòng gym đến đường chạy, từ văn phòng đến bếp ăn. Tuyển tập này sẽ cung cấp thêm nhiều lựa chọn, và bớt đi một số nỗi lo trên hành trình cân bằng cuộc sống hiện đại.

Thực hư thông tin dùng điều hòa dễ đột quỵ, hỏng xương khớp

Theo chuyên gia, đột quỵ, tử vong, liệt dây thần kinh số 7, viêm mũi, họng, khô da, hỏng xương khớp… khi sử dụng điều hòa là những quan điểm chưa đúng.

Linh Thùy

Bạn có thể quan tâm