Bệnh viện ĐH Y Dược TP.HCM cho biết vừa cứu sống một nam bệnh nhân 59 tuổi, quốc tịch Singapore. Ông Trương Quang Bình, Phó giám đốc bệnh viện, cho biết bệnh nhân là du khách, chuẩn bị ăn cơm tối thì rơi vào hôn mê, không đo được mạch, huyết áp, gần ngưng tim.
Bệnh nhân được đưa đến Bệnh viện An Bình cấp cứu. Các bác sĩ tại cơ sở y tế này đã sơ cứu bằng sốc điện, đặt nội khí quản để thở máy, dùng các thuốc điều trị rối loạn nhịp, các thuốc vận mạch để nâng huyết áp.
Sau 15 phút hồi sức tích cực, tim người bệnh đập lại, huyết áp có nhưng rất thấp. Kết quả điện tâm đồ lúc sau này thấy có dấu hiệu nhồi máu cơ tim tối cấp thành dưới. Tình trạng của người bệnh rất nguy kịch, nếu không được can thiệp cấp cứu để tái thông mạch máu bị tắc, khả năng tử vong rất cao.
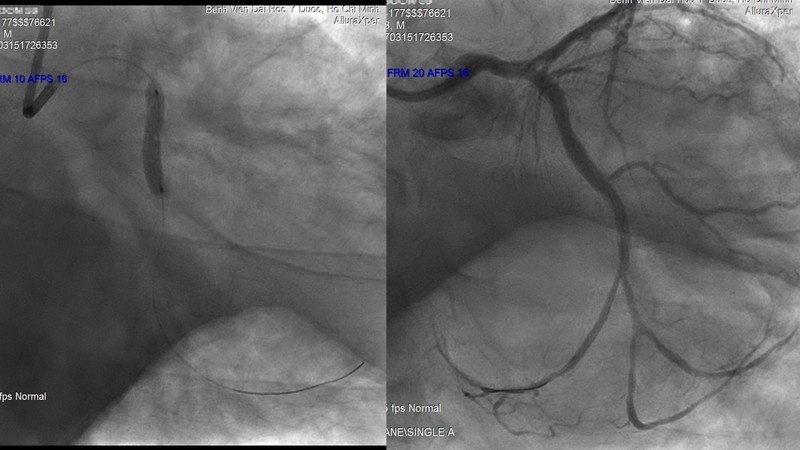
![]() |
| Mạch máu của bệnh nhân trước và sau khi được các bác sĩ can thiệp. Ảnh: N.P. |
Ông Cang được chuyển đến khoa Cấp cứu Bệnh viện ĐH Y Dược TP.HCM. Bỏ qua các thủ tục nhập viện. người bệnh được chuyển lên phòng DSA để được can thiệp đặt stent (giá đỡ mạch máu), cấp cứu mạch vành qua da. 60 phút sau phẫu thuật, người bệnh đã thoát khỏi tình trạng nguy kịch.
Theo bác sĩ Trần Hòa, Trưởng đơn vị can thiệp nội mạch, biểu hiện lâm sàng của nhồi máu cơ tim cấp là cơn đau thắt ngực cấp tính. Người bệnh hay đau ngực sau xương ức hay ngực trái, có thể lan lên cằm, vai hoặc tay trái.
Bệnh thường xuất hiện khi chúng ta nghỉ ngơi hoặc gắng sức rất nhẹ; cảm giác đè ép. Cơn đau ngực dữ dội khiến người bệnh không thể tiếp tục những công việc thường ngày, và kéo dài khoảng 30 phút.
![]() |
| Du khách Singapore được cứu sống kịp thời. Ảnh: N.P. |
Các triệu chứng đi kèm như người bệnh thường vã mồ hôi, khó thở, có thể bị ngất. Một số trường hợp nặng, người bệnh có thể bị tụt huyết áp, choáng tim và đột tử.
Bác sĩ Nguyễn Viết Hậu, Phó trưởng khoa cấp cứu, cho biết đối với bệnh lý nhồi máu cơ tim, thời gian chính là cơ tim. Càng kéo dài thì cơ hội cho người bệnh càng mất dần, tỷ lệ tử vong sẽ càng tăng lên.
Theo bác sĩ Vũ Hoàng Vũ, Phó khoa Nội tim mạch, nhồi máu cơ tim cấp là bị tắc nghẽn đột ngột và hoàn toàn lưu lượng máu đến nuôi động mạch vành thường do huyết khối. Huyết khối thường được hình thành tại chỗ, ở vị trí của mảng xơ vữa động mạch. Cơ chế hình thành cục huyết khối rất phức tạp, phụ thuộc vào tuổi và giới tính. Đàn ông và phụ nữ lớn tuổi thường do mảng xơ vữa trong khi ở phụ nữ trẻ thường do loét mảng xơ vữa.
Những người có nhóm nguy cơ cao như lớn tuổi, giới nam, gia đình có người mắc bệnh sớm cần phải kiểm tra sức khỏe định kỳ, cũng như điều chỉnh các yếu tố nguy cơ khác như hút thuốc lá, lối sống thiếu vận động thể lực, yếu tố tâm lý (căng thẳng, stress), béo phì hay thừa cân, tăng huyết áp, rối loạn chuyển hóa lipid máu, đái tháo đường.
Bác sĩ Bình cho biết thêm, trước đây bệnh nhồi máu cơ tim chỉ xuất hiện ở người lớn tuổi, nhưng nay bệnh càng trẻ hóa. Mỗi ngày bệnh viện tiếp nhận từ 1-2 ca bệnh này. Trong đó có bệnh nhân mới 26 tuổi.
* Tên bệnh nhân đã được thay đổi.

