Bạn có thể chuyển sang phiên bản mobile rút gọn của Tri thức trực tuyến nếu mạng chậm. Đóng

Dịch Covid-19

Ghép phổi người sống cho bệnh nhân Covid-19

Người phụ nữ ở Nhật Bản là bệnh nhân Covid-19 đầu tiên trên thế giới được ghép phổi từ người hiến tặng còn sống.

Theo The Japan Times, ca phẫu thuật kéo dài khoảng 11 giờ được diễn ra tại Bệnh viện Đại học Kyoto (Nhật Bản).

Người phụ nữ mắc Covid-19 bị tổn thương phổi nghiêm trọng nhập viện vào ngày 5/4 và được kết nối với thiết bị tim phổi nhân tạo (ECMO). Bà được ghép một phần phổi trái của chồng và một phần phổi phải của con trai 2 ngày sau đó.

Bệnh viện cho biết sau ghép, bệnh nhân tiếp tục được chăm sóc đặc biệt, dự kiến xuất viện sau hai tháng nếu bình phục sức khỏe. Trong khi đó, tình trạng của hai người hiến tặng cũng ổn định.

Trước đó, người phụ nữ ở Kansai, phía tây Nhật Bản, không có tiền sử bệnh tật, nhưng chức năng phổi của bà bị suy giảm nhanh chóng sau khi mắc Covid-19 vào cuối năm 2020. Căn bệnh khiến cả hai phổi của bà đều cứng và co lại, phá hủy hầu hết chức năng. Bà phải sử dụng máy thở hỗ trợ và cần ghép phổi để duy trì sự sống.

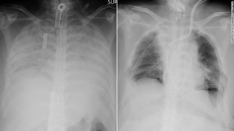
Benh nhan Covid-19 duoc ghep phoi anh 1

Hình ảnh X-quang trước và sau khi ghép phổi cho bệnh nhân. Vùng tối là khu vực mô phổi được cấy ghép. Ảnh: Bệnh viện Đại học Kyoto.

Theo thống báo của bệnh viện, các ca cấy ghép từ người cho chết não vẫn còn rất hiếm ở Nhật Bản và những người hiến tặng còn sống được coi là lựa chọn tốt hơn. Vì vậy, chồng và con trai của bệnh nhân được đề nghị hiến phổi. Họ cũng được cảnh báo về những nguy cơ sức khỏe do giảm dung tích phổi.

Tiến sĩ Hiroshi Date, bác sĩ phẫu thuật lồng ngực tại Bệnh viện Đại học Kyoto, người chỉ đạo ca mổ, cho biết sự kiện này mở ra hy vọng cho những bệnh nhân bị tổn thương phổi nặng do Covid-19. "Chúng tôi đã chứng minh rằng giờ đây, chúng tôi có thêm lựa chọn cấy ghép phổi từ những người hiến tặng còn sống", ông Hiroshi khẳng định.

Theo CNN, Covid-19 gây tổn thương phổi nghiêm trọng ở nhiều người trên thế giới - bao gồm cả Mỹ. Nhiều người đã được cấy ghép phổi như một phần của quá trình hồi phục sau căn bệnh này.

Vào tháng 6/2020, các bác sĩ phẫu thuật ở Mỹ đã thực hiện ca ghép phổi đôi thành công trên một bệnh nhân Covid-19. Đây được cho là ca phẫu thuật đầu tiên như vậy trên một bệnh nhân nhiễm SARS-CoV-2 ở nước này.

Tháng trước, các bác sĩ phẫu thuật Mỹ đã hoàn thành ca ghép phổi đôi "Covid to Covid". Ca ghép sử dụng phổi của người hiến tặng đã hồi phục sau Covid-19, nhưng lại tử vong vì nguyên nhân khác. Người nhận là bệnh nhân 60 tuổi có phổi bị tổn thương nặng do Covid-19.

Người đàn ông ở Hong Kong bị tiêm nhầm vaccine do đến sai địa điểm

Nhân viên y tế không kiểm tra kỹ thông tin khiến ông David Allardice bị tiêm nhầm vaccine Covid-19 của Sinovac, khác loại đã đăng ký trước đó.

Dịch Covid-19

Phat hien moi ve hau qua cua Covid-19 hinh anh

Phát hiện mới về hậu quả của Covid-19

0

Nghiên cứu mới cho thấy Covid-19 gây hại cho hệ vi sinh vật đường ruột, có thể dẫn đến các vấn đề sức khỏe khác như đầy hơi và trào ngược axit.

Phat hien virus bi an giong SARS-CoV-2 o Nga hinh anh

Phát hiện virus bí ẩn giống SARS-CoV-2 ở Nga

0

Với protein gai có thể dễ dàng bám vào tế bào người như nCoV, loại virus này khiến các nhà khoa học lo lắng. Đặc biệt, vaccine và kháng thể Covid-19 không có tác dụng với nó.

Dai dich moi o nhung nguoi khoi Covid-19 hinh anh

Đại dịch mới ở những người khỏi Covid-19

0

Nghiên cứu mới cho thấy ngay cả người nhiễm nCoV nhẹ cũng có nguy cơ bị đau tim, đột quỵ cao hơn. Điều này dấy lên mối lo về đại dịch bệnh tim mạch ở những người khỏi Covid-19.

Trieu chung nhiem bien chung BA.5 hinh anh

Triệu chứng nhiễm biến chủng BA.5

0

Về cơ bản, người nhiễm BA.5 sẽ có các triệu chứng như những chủng Covid-19 trước đó. Song, tần suất gặp phải của từng triệu chứng lại khác nhau.

Phương Mai

Bạn có thể quan tâm