Bạn có thể chuyển sang phiên bản mobile rút gọn của Tri thức trực tuyến nếu mạng chậm. Đóng

DrAid - công cụ AI giúp sàng lọc, tiên lượng điều trị Covid-19

Ứng dụng trí tuệ nhân tạo, DrAid từ Công ty Cổ phần VinBrain (Tập đoàn Vingroup) được Hội đồng Khoa học Bộ Y tế kiến nghị sớm đưa vào sử dụng tại các bệnh viện điều trị Covid-19.

Sau hơn một năm nghiên cứu và phát triển, VinBrain vừa hoàn thiện sản phẩm DrAid cho Covid-19. Đây là công cụ có khả năng hỗ trợ chẩn đoán và tiên lượng điều trị dựa trên ảnh X-quang ngực thẳng.

Chẩn đoán và tiên lượng điều trị Covid-19 bằng AI

Mô hình AI này được đào tạo từ các nguồn dữ liệu mở rộng lớn trên thế giới và Việt Nam, nhằm đưa ra gợi ý về chẩn đoán và tiên lượng điều trị Covid-19. Trong đợt dịch bùng phát lần thứ 4 tại Việt Nam, đội ngũ VinBrain đã trực tiếp thu thập dữ liệu từ 26 khu cách ly F1 tại Bắc Giang và TP.HCM cùng 10 bệnh viện dã chiến, trung tâm cấp cứu Covid-19 khác tại TP.HCM và Hà Tĩnh. Đến nay, DrAid sở hữu nguồn dữ liệu lớn về Covid-19, bao gồm 21.421 hình ảnh X-quang ngực của bệnh nhân dương tính với SARS-CoV-2 và 118.018 ảnh X-quang ngực tiêu chuẩn.

DrAid cho Covid-19 là ứng dụng trí tuệ nhân tạo được Hội đồng Khoa học Bộ Y tế nghiệm thu, đồng thời kiến nghị đưa vào phác đồ chẩn đoán và điều trị Covid-19 tại các bệnh viện điều trị bệnh nhân trên toàn quốc.

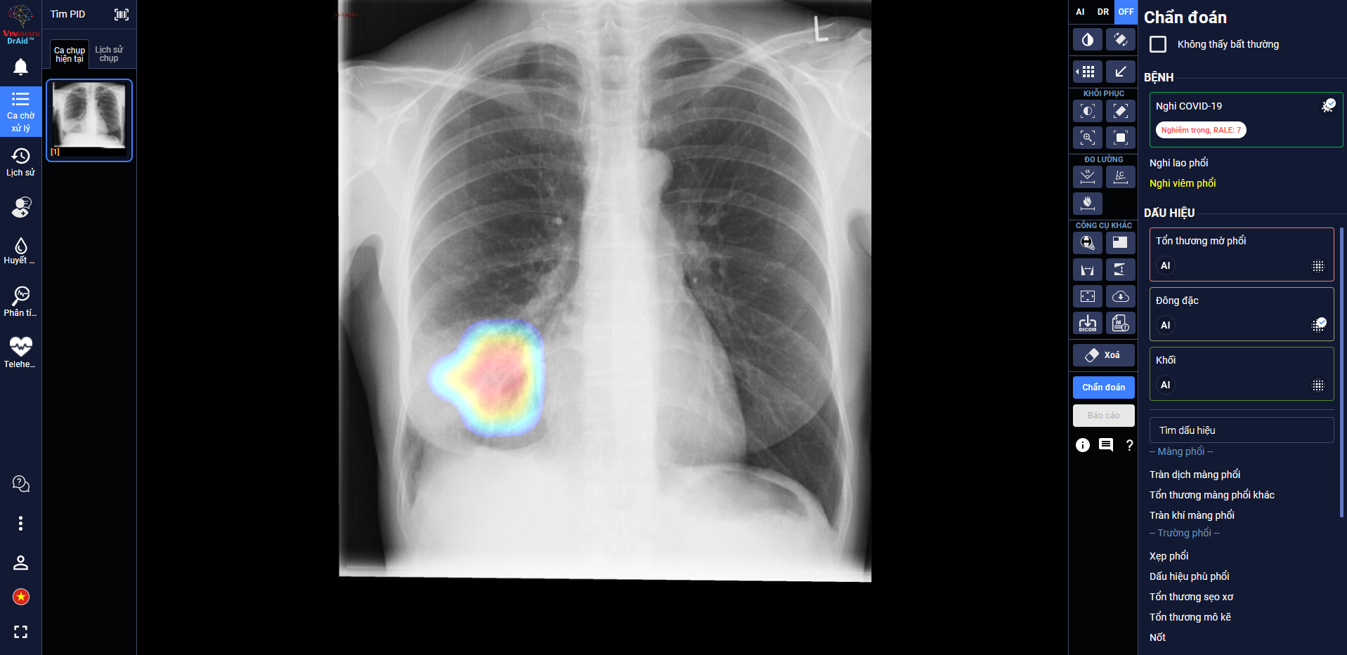
DrAid cho Covid-19 anh 1

DrAid giúp bác sĩ theo dõi mức độ tổn thương phổi ở một bệnh nhân F0 trên ảnh X-quang.

Ông Trương Quốc Hùng - Tổng giám đốc VinBrain cho biết, DrAid cho Covid-19 hội tụ nhiều ưu điểm, trong đó có chủ động cảnh báo Covid-19 trong các tình huống. Cụ thể, khi được tích hợp vào các máy chụp X-quang hoặc hệ thống công nghệ thông tin sẵn có tại các bệnh viện và cơ sở y tế, máy này sẽ hoạt động như một “màng lọc” virus SARS-CoV-2 trên diện rộng, giúp bệnh viện và cơ sở y tế chủ động phát hiện người nghi nhiễm Covid-19.

Khi người dân đi kiểm tra sức khỏe và được chỉ định chụp X-quang, DrAid sẽ lập tức cảnh báo nếu phát hiện dấu hiệu nghi nhiễm Covid-19, qua đó giúp bệnh viện nhanh chóng có phương án cách ly, kịp thời điều trị cho bệnh nhân.

Tại các khu cách ly tập trung hoặc khu có nguy cơ cao, DrAid cho Covid-19 hỗ trợ phân luồng bệnh nhân trước khi xét nghiệm PCR. Trong đó, các F1 nghi nghiễm được khoanh vùng ngay và làm xét nghiệm PCR mẫu đơn, còn trường hợp không nghi nhiễm có thể làm PCR mẫu gộp và cách ly bình thường. Cách này sẽ tiết kiệm ngân sách y tế hơn so với cách làm thông thường.

Trong các bệnh viện thu dung điều trị Covid-19, công cụ cũng giúp đội ngũ bác sĩ đánh giá mức độ tổn thương phổi của bệnh nhân qua từng ngày, từ đó đưa ra chỉ định điều trị kịp thời.

Sát cánh cùng bệnh viện tiến tới "bình thường mới"

Tại Việt Nam, chụp X-quang hiện là phương pháp chẩn đoán hình ảnh dễ tiếp cận và được ứng dụng rộng rãi ở các cấp y tế. Mô hình AI của DrAid được đào tạo trên bộ dữ liệu lớn các ảnh X-quang ngực thẳng. Do vậy, việc ứng dụng công cụ này vào sàng lọc, chẩn đoán và tiên lượng điều trị bệnh nhân Covid-19 tại các cơ sở y tế tương đối thuận lợi, dễ dàng nhân rộng trên toàn quốc. Nhờ đó, công tác dự phòng và kiểm soát Covid-19 diễn ra chủ động, mọi lúc mọi nơi, tối ưu các nguồn nhân lực và ngân sách cho y tế.

DrAid hiện được sử dụng để hỗ trợ bác sĩ tiên lượng điều trị cho bệnh nhân Covid-19 tại một số bệnh viện dã chiến ở TP.HCM và Hà Tĩnh. Máy cũng được ứng dụng thực tiễn trên các xe và máy chụp lưu động với liều tia X-quang bằng 1/4 máy chụp X-quang trước đây.

DrAid cho Covid-19 anh 2

Bác sĩ tại Bệnh viện dã chiến Kỳ Anh sử dụng DrAid để theo dõi, điều trị cho bệnh nhân Covid-19.

Theo đánh giá của các bác sĩ tại Trung tâm Y tế Kỳ Anh - Hà Tĩnh, AI đã hỗ trợ đội ngũ y bác sĩ trong quá trình theo dõi tổn thương qua các ngày, nhận diện tình huống tổn thương ở mức độ nào... Ngoài ra, AI cũng giúp bác sĩ phát hiện các tổn thương nhỏ dễ bỏ sót.

Ông Trương Quốc Hùng cho biết tiềm năng ứng dụng của công cụ DrAid cho Covid-19 không giới hạn tại Việt Nam mà là toàn thế giới. Với giải pháp chẩn đoán và tiên lượng điều trị bệnh nhân Covid-19 này, hệ thống y tế sẽ có thêm một công cụ để chủ động ứng phó với đại dịch, giúp phát hiện sớm và điều trị kịp thời bệnh nhân Covid-19.

Trí tuệ nhân tạo (AI) hiện là công nghệ nhận được nhiều sự chú ý nhờ tiềm năng giải các nút thắt trong bài toán dự phòng Covid-19 thông qua tốc độ, khả năng nhân rộng và tối ưu các nguồn lực kinh tế, con người. Nếu được khai thác chuẩn mực, chuyên sâu và ứng dụng phù hợp, các ứng dụng của trí tuệ nhân tạo hứa hẹn trở thành trợ lý đắc lực để đội ngũ bác sĩ và người dân bước vào giai đoạn “bình thường mới” - chung sống với Covid-19.

Mon che ngon giup giu nhiet, dep da trong mua lanh hinh anh

Món chè ngon giúp giữ nhiệt, đẹp da trong mùa lạnh

0

Chè dưỡng nhan mùa lạnh được phối hợp cùng các nguyên liệu mang tính ấm như gừng, quế, long nhãn và táo đỏ nhằm hỗ trợ tuần hoàn máu cũng như bảo vệ cơ thể trước những đợt gió lạnh.

Trà Văn

Bình luận

Bạn có thể quan tâm